From the Editor A Strong Foundation By Markus B. Blatz, DMD, Rodrigo Neiva, DDS July 15, 2022 3 min read
Business of Dentistry Business of Dentistry Hitting a Home Run When Selling Your Practice By Josh Swearingen July 15, 2022 7 min read
Oral Health Insights General Dentistry Guidelines for Medical Immobilization/Protective Stabilization for Your Practice By H. Barry Waldman, DDS, Rick Rader, MD, Steven P. Perlman, DDS July 15, 2022 9 min read
Clinical Technique Review Implantology Lasso Guided Bone Regeneration Technique for the Management of Implant Fenestration Defects By Bruna T. Neiva, DDS, Gisele F. Neiva, DDS, Rodrigo Neiva, DDS July 15, 2022 11 min read
Clinical Technique Review Implantology Double-up Technique for Correction of Ridge Contour Deficiencies By Rodrigo Neiva, DDS, Vinay Bhide, DDS July 15, 2022 12 min read
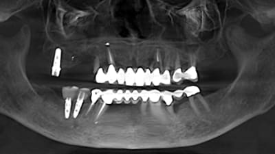
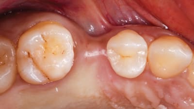
Clinical Technique Review Implantology Osseodensification Effective for Immediate Molar Replacement By Rodrigo Neiva, DDS, Salah Huwais, DDS, Samvel Bleyan, DDS July 15, 2022 13 min read
Special Reports: In-Depth Look Oral Surgery Evolution of Biomaterials in Implant Dentistry Leads to Enhanced Tissue Quality By Rodrigo Neiva, DDS July 15, 2022 9 min read
Special Report Oral and Maxillofacial Radiologist Extols Benefits of DEXIS™ Imaging CBCT Solutions July 15, 2022 3 min read
Continuing Education Implantology A Biologic Perspective on the Use of Partial Extraction Therapy in Implant Dentistry By Edward D. Karateew, DDS, Howard Gluckman, BDS, Richard Martin, DDS, Rodrigo Neiva, DDS, Snjezana Pohl, DDSMD July 15, 2022
Continuing Education Implantology Rationale for Implant Site Preservation With Absorbable Bone Scaffolds By Bruna T. Neiva, DDS, Gisele Neiva, DDS, Rodrigo Neiva, DDS July 15, 2022
Online Only Implantology Online Only Repair of a Non-Retentive Crown Over a Press-Fit Implant Placed 30 Years Prior By Leonor Limao Oliveira, DDS, Reem A. Alghamdi, DDS, Sang-Choon Cho, DDSDDS, Stuart J. Froum, DDS, Vatsal Jaipuria, BDS July 15, 2022 12 min read
Products in Practice Pain Management The Use and Benefits of Vibration as a Supplement to Conventional Local Anesthetic Injection By Jordan Schapiro, DDS, Rachel Schapiro, BS, Stevie Schapiro, BA July 15, 2022 8 min read
Products in Practice Implantology Bar-Retained Zygomatic Implant Overdenture as a First Line of Treatment By Luis Vega, DDS;, Rachel Strait, DMD, Tyler E. Ames, DMD July 15, 2022 10 min read