Case Report Treatment of the Severely Atrophic Arch With Zygomatic, Pterygoid, and Vomer Dental Implants Dan Holtzclaw, DDS, MS September 01, 2020 2 min read
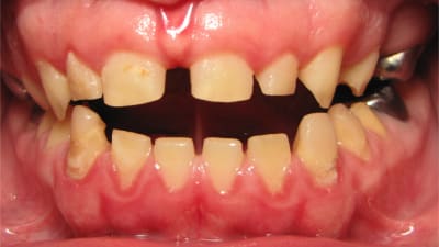
Case Report Use of Clear Aligners in the Restoration of a Severe Anterior Open Bite Mark Lowe, DDS September 01, 2020 2 min read
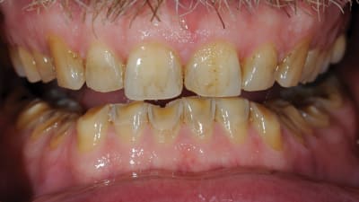
Case Report A Practical, Flowable Technique for Restoring a Worn Dentition Giancarlo Romero, DDS, MS September 01, 2020 2 min read
Case Report Intraoral Scanning Key Factor in Long- Awaited Smile Restoration Chad C. Duplantis, DDS September 01, 2020 2 min read