Tribute to D. Walter Cohen, DDS A Relentless Zeal to Advance Oral Health February 01, 2019 5 min read
Business of Dentistry Business of Dentistry Attracting and Retaining Key Talent to Grow Your Practice By Perrin DesPortes February 01, 2019 7 min read
Roundtable Implantology Prosthodontics What Issues Must Prosthodontists Overcome to Make Digital (CAD/CAM) Dentistry a Reality in Their Practice? By David L. Guichet, DDS, Stephen J. Chu, DMD February 01, 2019 9 min read
Continuing Education Restorative General Dentistry Current Concepts and Best Evidence on Strategies to Prevent Dental Erosion By Howard E. Strassler, DDS,DMD,DMD, Jennifer Park, DDS, Mary A.S. Melo, DDS, Vanara F. Passos, DDS February 01, 2019
Continuing Education Specialty Care General Dentistry Pediatric Dentistry Dental Team's Role in Maternal and Child Oral Health During and After Pregnancy By David C. Alexander, BDSBDS, Irina F. Dragan, DDSDDS, Maria L. Geisinger, DDS, MS, Stephen C. Mitchell, DMD February 01, 2019
Kois Center Case Orthodontics Restorative Merging Clear Aligner Therapy With Digital Smile Design to Maximize Esthetics and Minimize Tooth Reduction By Ryan Tak On Tse, BDSBDS February 01, 2019 11 min read
Case Reports Prosthodontics Implantology Use of Digital Technology to Fabricate an Anterior Fixed Restoration Supported by a Dental Implant and Natural Teeth By Joseph R. Greenberg, DMDDMDDMD February 01, 2019 8 min read
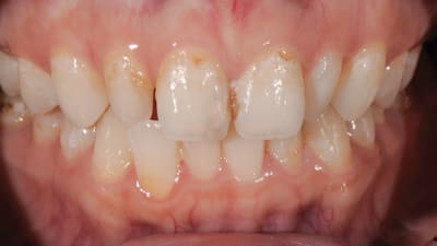
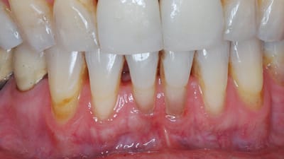
Case Reports Oral Surgery Periodontics Incidental Finding of a Suspected Horizontal Root Fracture During Mucogingival Surgery By Lisa M. Yerke, DDS, Robert E. Cohen, DDS February 01, 2019 10 min read
Special Report Restorative Posterior Composite Resin Restorations: Keys to Long-Term Survivability By Howard E. Strassler, DDS,DMD,DMD, Nisha Ganesh, DDS February 01, 2019 9 min read
Special Reports: In-Depth Look Beautifil Flow Plus X: A Multi-Use Composite for Both Anterior and Posterior Restorations February 01, 2019 3 min read
Special Reports: In-Depth Look Tokuyama Dental's OMNICHROMA Delivers Any Shade With One Composite February 01, 2019 3 min read
Special Reports: In-Depth Look ClearView Sectional Matrix System Promotes Greater Visibility, Improved Access, and Efficiency February 01, 2019 4 min read
Online Only Implantology Periodontics Pain Management Online Only Effects of NSAIDS on Periodontal and Dental Implant Therapy By Hom-Lay Wang, DDS, Houssam Askar, BDS, Mustafa Tattan, BDS February 01, 2019 16 min read