Columns Global Health Through Oral Health: Revitalizing School Health Programs Worldwide By Habib Benzian, DDS October 01, 2010 8 min read
Case Reports There Is More to Front Teeth Than Looks Alone - Diagnosis and Treatment Planning By Joyce L. Bassett, DDSDDS October 01, 2010 12 min read
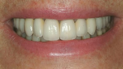
Case Reports Creating Well-Fitting Restorations with a Digital Impression System By Richard Smith, DDS October 01, 2010 7 min read
Practical Application Regenerative Strategies for Anterior Esthetic Rehabilitation: A Clinical and Histologic Case Report By John Lupovici, DDS October 01, 2010 15 min read
Practical Application A Dental Esthetic Checklist for Treatment Planning in Esthetic Dentistry By Joseph R. Greenberg, DMDDMDDMD, Meredith C. Bogert, DMD October 01, 2010 12 min read
Research Update Severity and Prevalence of Plaque-Induced Gingivitis in the Chinese Population By Dongying Xuan, DDS, Fotinos Panagakos, DMD, Jincai Zhang, DDS, Serge Dibart, DMD, Weihua Fan, DDS, William De Vizio, DMD, Xiong Zhang, DDS, Yun Po Zhang, PhD October 01, 2010 16 min read
Online Only Online Only Down Syndrome-Associated Periodontitis: A Critical Review of the Literature By Hessam Nowzari, DDS October 01, 2010 20 min read
Special Report Multidimensional Imaging: Immediate and Imminent Issues By Michiel van Genuchten, PhD, William C. Scarfe, BDSBDS October 01, 2010 13 min read
Special Report Imaging Sciences International - i-CAT System-the Leader in Image Flexibility October 01, 2010 5 min read
Special Report Sirona Dental Systems LLC - GALILEOS Provides Clinical Workflow and Integration Advantages October 01, 2010 5 min read
Continuing Education Light-Curing Considerations for Resin-Based Composite Materials: A Review. Part II By Kundabala Mala, MDS, Neeraj Malhotra, MDS October 01, 2010
Continuing Education Analgesic Update: Tapentadol Hydrochloride By Elliot V. Hersh, DMD, Paul A. Moore, DMD, Stephanie Golubic, DMD October 01, 2010
Products in Practice Case Studies Creating Well-Fitting Restorations with a Digital Impression System By Richard Smith, DDS October 01, 2010 7 min read