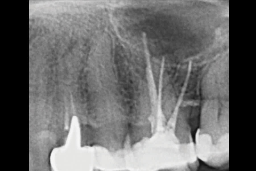
This case illustrates the value of contemporary reciprocating systems in addressing anatomical variations that can compromise primary endodontic success. A 62-year-old female patient was referred to the author’s practice due to persistent discomfort during mastication localized to the maxillary left first molar. Clinical examination revealed mild percussion sensitivity. A CBCT scan confirmed a previously untreated second mesiobuccal (MB2) canal and a periapical lesion associated with the mesiobuccal root. Thus, nonsurgical orthograde retreatment was chosen. Because the intricate morphology of MB2 canals can prove challenging for traditional rotary NiTi systems, the author has adopted the use of reciprocating single-file techniques, which offer enhanced safety. In this case, the author used the EdgeOne R Utopia™ R20 (EdgeEndo, edgeendo.com), a single-file reciprocating instrument designed for tight, calcified, and/or highly curved canals. Its S-shaped cross-section ensures cutting efficacy and fatigue resistance, while a proprietary heat treatment enhances both torsional strength and flexibility. The case was completed using standard irrigation protocols, followed by single-cone obturation with EdgeOne R Utopia™ gutta-percha points (EdgeEndo) and EdgeBioceramic™ Sealer (EdgeEndo) for a biocompatible and hermetic seal. Postoperative radiographs confirmed a well-centered fill and adequate canal debridement. The patient reported no significant postoperative discomfort and was asymptomatic within days.
KEY TAKEAWAYS
EdgeOne R Utopia R20 successfully negotiated a narrow, double-curved MB2 canal without the need for glide path preparation or multi-instrument techniques. The reciprocating motion reduces continuous torsional stress, improves resistance to cyclic fatigue, and preserves canal anatomy.
R20’s proprietary heat treatment improves torsional resistance and flexibility, enabling safer navigation in highly curved or calcified canals. The R20 maintained working length and canal integrity, minimizing risk of ledging, transportation, or instrument separation.
The case was completed using a true single-file technique, reducing chairtime and preserving conservative canal shaping.
Gianluca Gambarini, DDS
Professor and Head of Endodontics and Restorative Dentistry, La Sapienza University of Rome; Private Practice limited to Endodontics, Rome, Italy