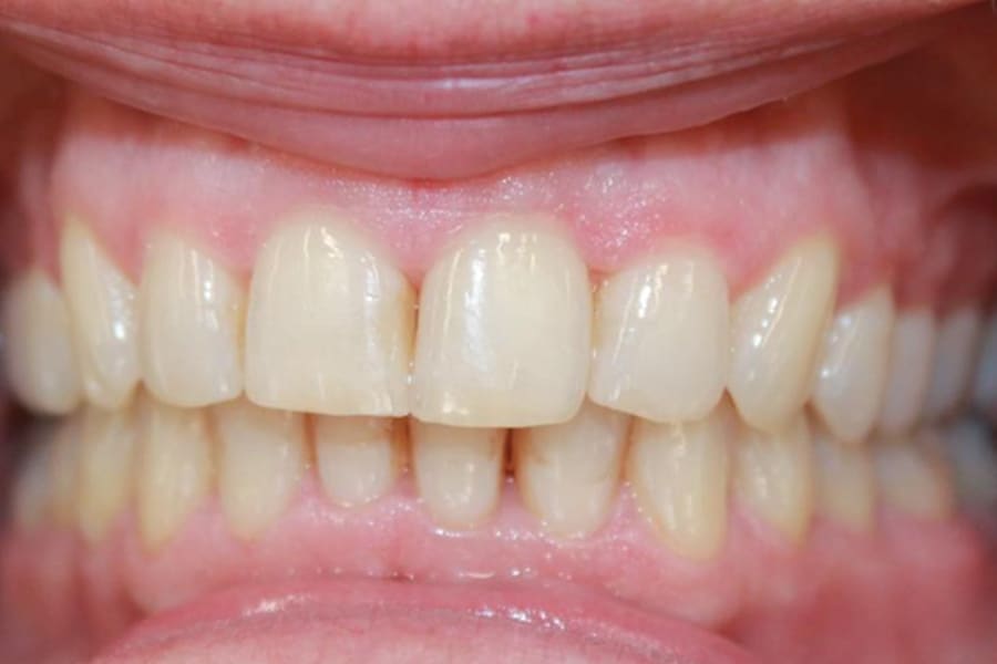
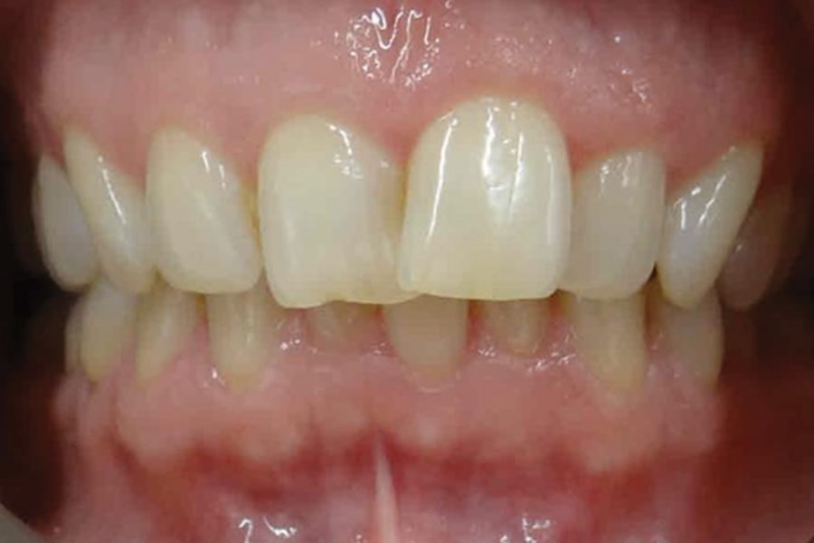
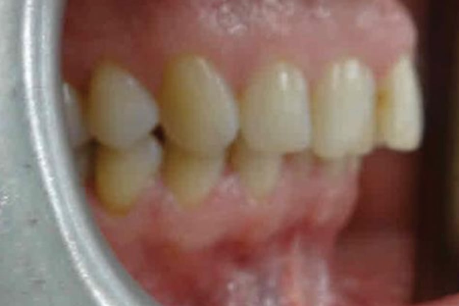
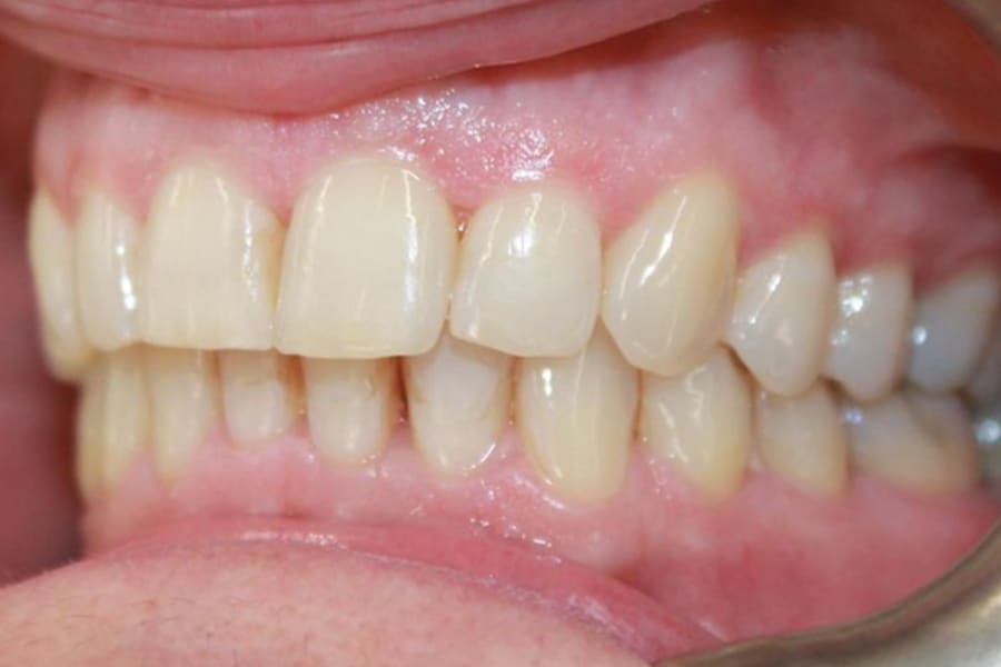
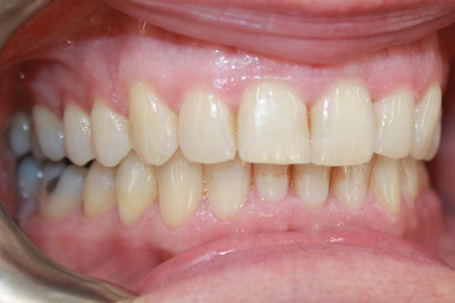
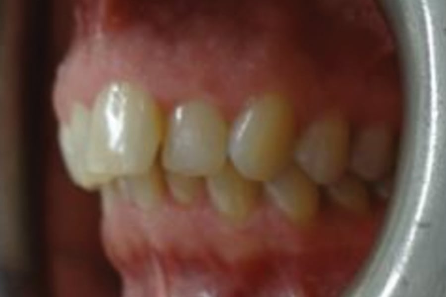
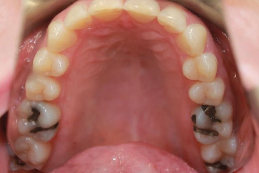
A 54-year-old woman presented with a chief complaint of teeth crowding. After comprehensive digital records were obtained, ClearCorrect® aligner therapy (Straumann, clearcorrect.com) was chosen with an anticipated 12-month treatment duration. The patient exhibited moderate anterior crowding, a class II molar relationship, and narrow arches. The treatment plan aimed to resolve the class II discrepancy, expand the arches, and establish proper anterior alignment. A total of 25 active aligners plus two retention aligners were prescribed. Attachments were selectively placed on the maxillary and mandibular canines to premolars, minimizing bulk while maintaining control over torque and posterior alignment. The patient was instructed to wear class II elastics full-time, which was crucial to achieving molar correction and arch expansion. Her outstanding compliance with class II elastics contributed to a significant improvement in molar position and transverse arch development. After completing the active phase, the patient transitioned to retainers to ensure long-term stability of the results. Given the patient’s initial class II occlusion, monitoring retention was emphasized to prevent relapse. The patient was extremely pleased with the outcome, demonstrating a broadened smile and improved occlusal function. This case underscores the effectiveness of ClearCorrect’s aligners in adult patients, particularly when combined with compliant elastic wear and targeted expansion strategies.
KEY TAKEAWAYS
With proper patient compliance, ClearCorrect adult orthodontic therapy can achieve excellent class II correction and esthetic improvement using a non-invasive, aligner-based approach.
ClearCorrect’s aligners have proven effectiveness in adult patients, particularly when combined with compliant elastic wear and targeted expansion strategies.
Orthodontic treatment does not end when the teeth are straight—most patients will require retainers, such as Hawley retainers, fixed retainers, or ClearCorrect clear retainers, to prevent relapse.
Yan Kalika, DMD, MS
Certified Specialist in Orthodontics and Dentofacial Orthopedics; Private Practice, San Francisco, California