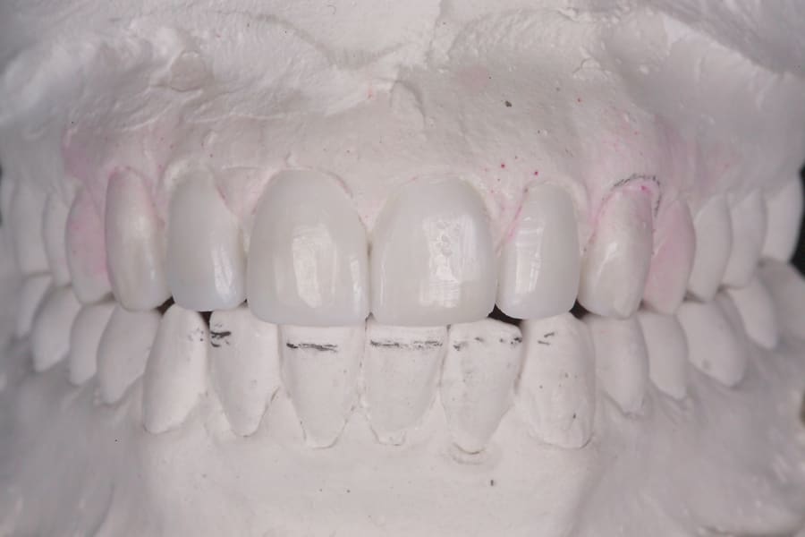
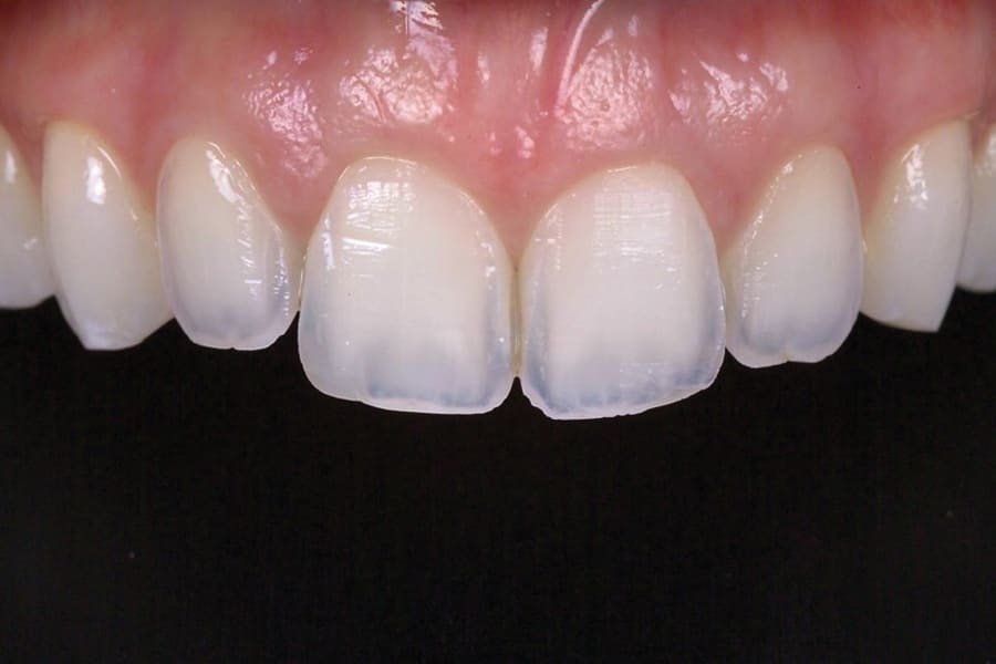
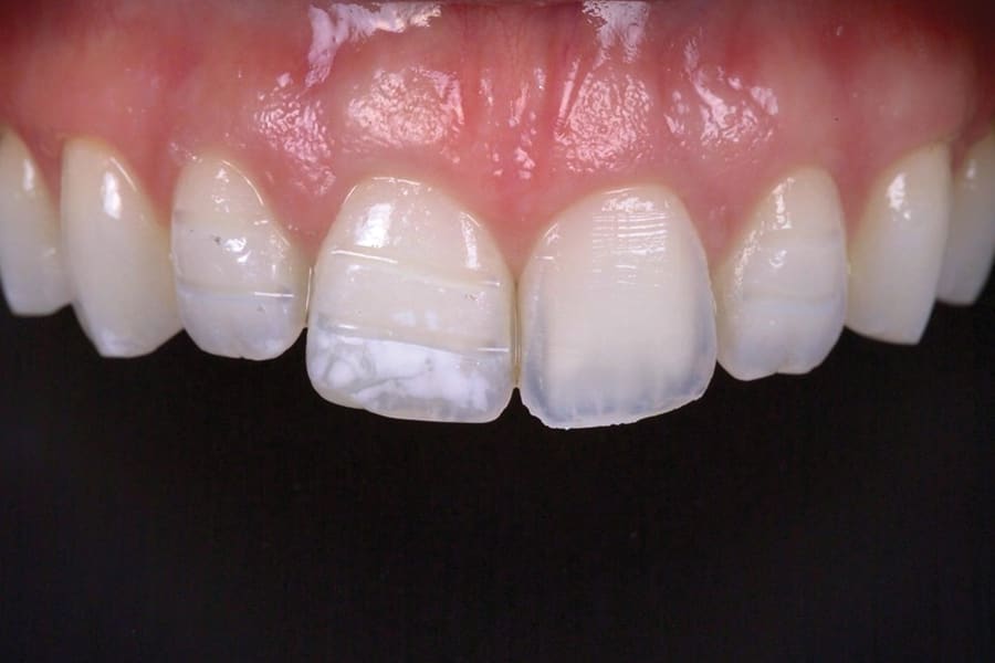
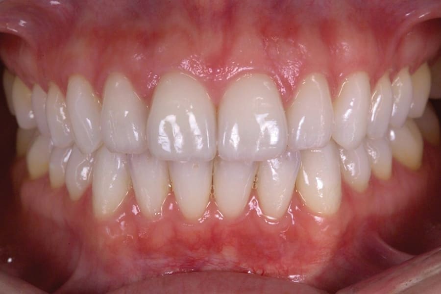
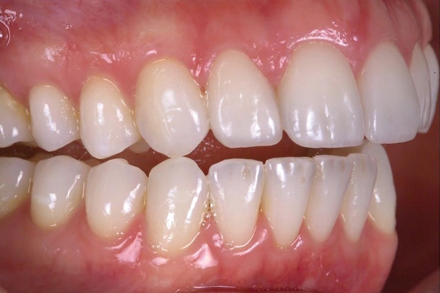
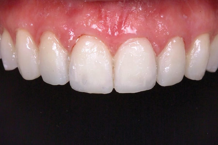
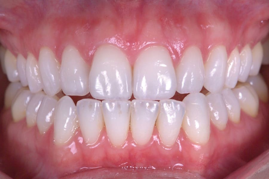
A female patient presented post-orthodontics seeking cosmetic improvement. Despite a leveled gumline, her teeth appeared short, asymmetrical, and showed white developmental spots. Mild mesial canine rotation affected esthetics and function. She requested veneers to match her B1 tooth shade. After records were taken, a wax-up was created. At the consultation, the patient approved the proposed design. Minimal preparation of 0.4 mm to 0.5 mm was performed on the incisors to allow space for feldspathic porcelain while maintaining tooth position. The canines were restored with no-prep half veneers to correct mesial deficiencies and improve function. Depth-cutting burs were used to control the reduction; chamfer diamonds refined the margins. Finish lines were placed near the gingiva to allow the porcelain to blend naturally. Final impressions and shade photographs were taken, and provisionals were fabricated with a beadline over-impression technique. At delivery, provisionals were removed and veneers were silanated (Bis-Silane™, BISCO, bisco.com) and tried in with translucent paste (Choice™ 2 Try-in Paste, BISCO). After patient approval, restorations were steam-cleaned. Teeth were isolated, etched (Uni-Etch® w/ BAC, BISCO), rinsed, and treated with All-Bond Universal® (BISCO). Veneers were bonded with Porcelain Bonding Resin (BISCO) and translucent Choice™ 2 cement (BISCO).
KEY TAKEAWAYS
THE CONSERVATIVE HYBRID APPROACH used in this case restored both proper canine guidance and occlusal function while enhancing smile symmetry and esthetics.
By combining no-prep and minimal-prep veneers, tooth structure is preserved while still achieving precision in form, fit, and translucency tailored to the patient’s smile.
Coordinated planning among the dentist, patient, and master ceramist—beginning with the wax-up and ending with exact shade matching and functional delivery—helps ensure optimal outcomes. Use of a complete adhesive system with color-stable, high-strength resin facilitates reliable bonding and seamless esthetics for long-term veneer success.
Todd Snyder, DDS
Private Practice, Laguna Niguel, California, and Las Vegas, Nevada; Fellow, American Academy of Cosmetic Dentistry