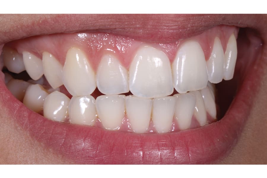
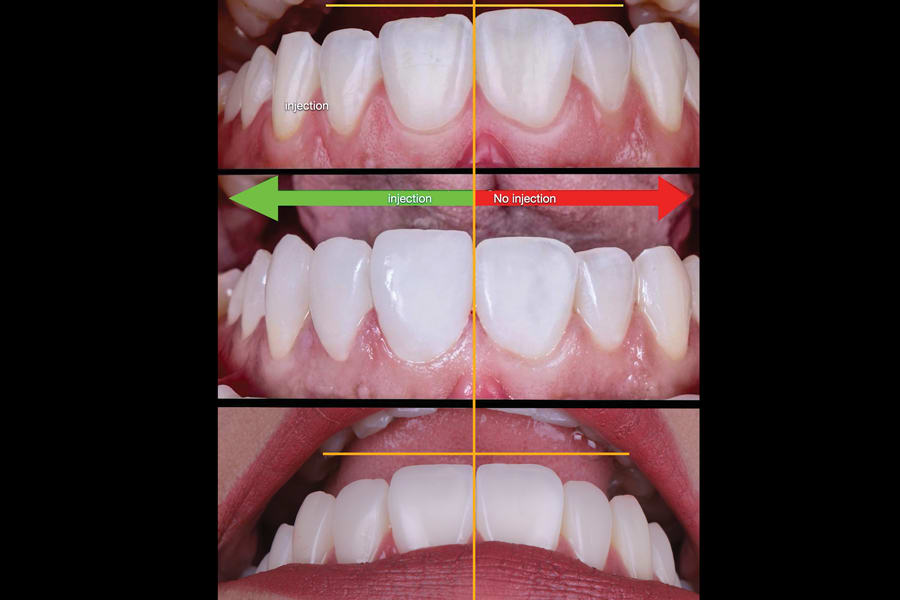
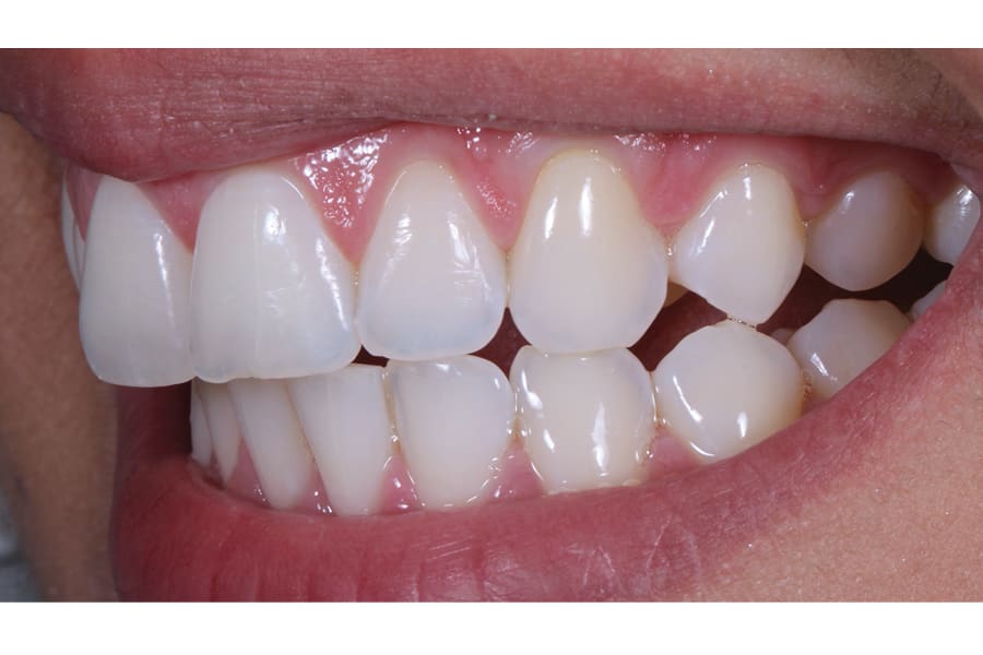
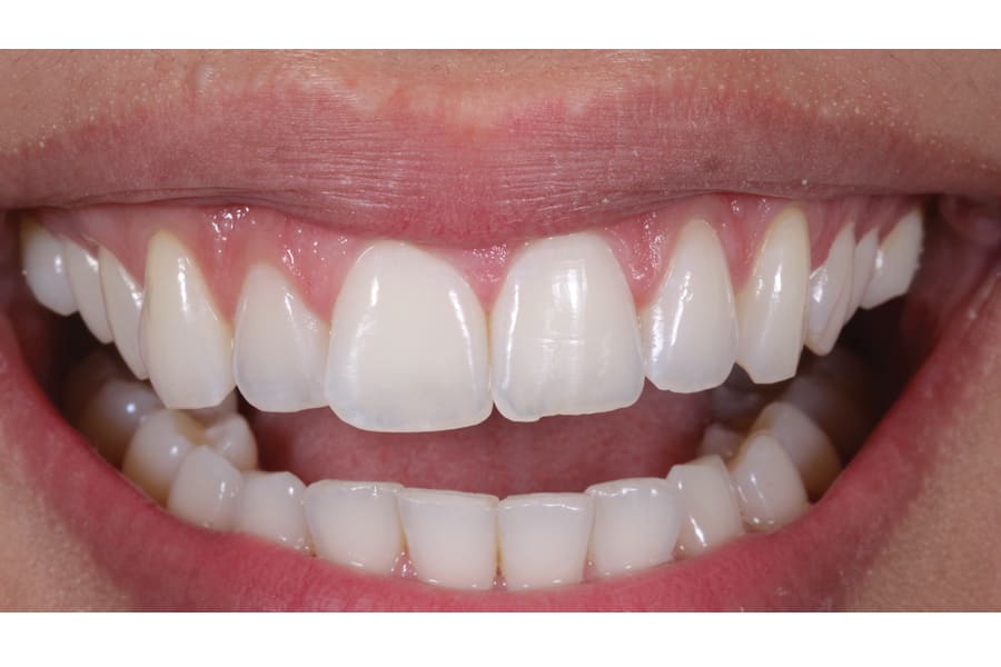
A 30-year-old woman presented wanting to restore her maxillary right lateral incisor with a porcelain veneer. Upon clinical examination, multiple functional issues were identified. The ideal treatment plan, as explained to the patient, would involve orthodontic correction, followed by gingival surgery on the maxillary arch to eliminate cervical height discrepancies, and, only then, esthetic restoration. The patient declined the proposed comprehensive treatment and requested a less invasive alternative to achieve her esthetic goals. The clinician, therefore, proposed a minimally invasive approach using a bioactive flowable composite. A minor cervical gingivoplasty was performed on tooth No. 7 to achieve better harmony with the contralateral lateral incisor. Beautifil Flow Plus, B1/F03, nanohybrid composite (Shofu, shofu.com), which features Giomer Technology, was used in combination with BeautiBond Xtreme (Shofu), a one-step adhesive. To ensure predictable, high-quality results, the injected flowable resin technique was employed using a transparent polyvinyl siloxane (PVS) index. For the final finishing and polishing of the resin veneers—from the right first premolar to the left first premolar—the clinician followed the manufacturer’s recommended sequence using the Super-Snap disk system (Shofu). This approach successfully combined a minimally invasive esthetic restorative treatment with a resolution of the underlying functional problem.
KEY TAKEAWAYS
Patients may be unwilling to accept comprehensive treatment that requires extensive time and surgical intervention, such as orthodontics and gingival surgery. In such cases, a minimally invasive restorative approach using bioactive flowable composites may be a viable option.
Combining the delivery characteristics of a flowable material and the strength, durability, and esthetics comparable to other leading hybrid composites, Beautifil Flow Plus is approved for all classifications, including occlusal and cusp. It offers excellent handling, stackability, and a non-sticky consistency.
Beautifil Flow Plus contains bioactive Giomer Technology, proprietary filler particle that releases ions to inhibit plaque, neutralize acid, and prevent secondary decay.
Flavio Henriques,
DDS, MS, PhD
Associate Professor, Fluminense Federal University – Niterói, Rio de Janeiro, Brazil; Private Practice, Rio de Janeiro, Brazil