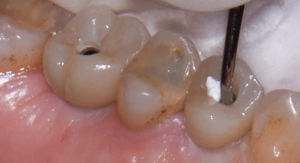
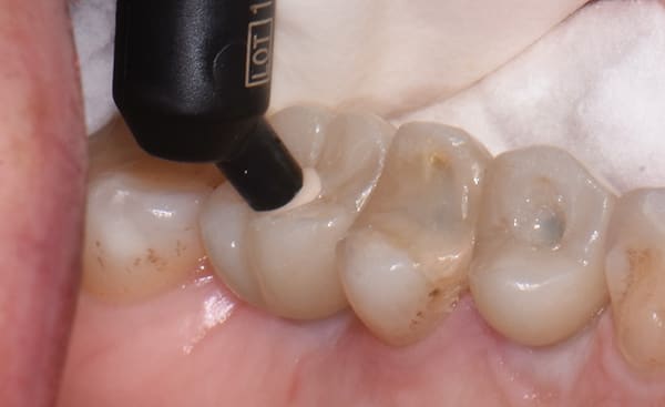
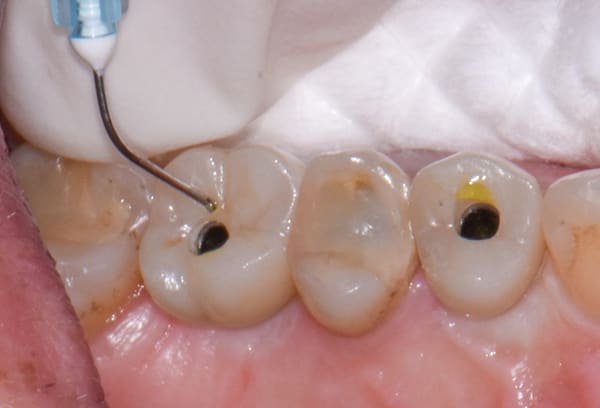
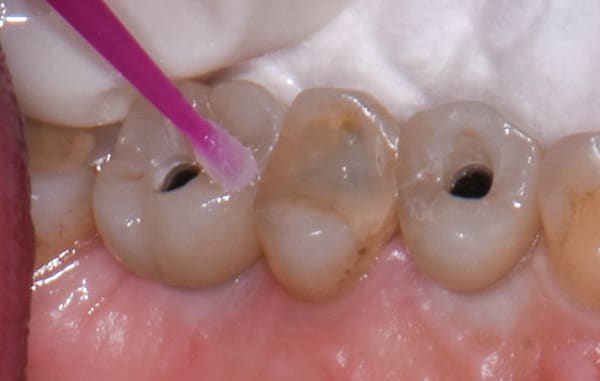
Dentists have long been frustrated by the color gray. In the author's experience, gray teeth whiten slower than yellow teeth, and VITA shades in the gray range ("D" and "C" shades) are more difficult to match, especially in zirconia. The concept discussed in this case presentation deals with an equally troublesome undertaking: covering implant screw-holes and gray-colored posts. Clinicians often are left with a gray-colored circle in the middle of the restoration no matter what they use to cover these holes. This technique overcomes this dilemma. It utilizes OMNICHROMA (Tokuyama Dental, omnichroma.com) single-shade composite as well as OMNICHROMA BLOCKER (Tokuyama Dental), an opaquing agent. The author has used this system with multiple shades ranging from bleach white to A4 with excellent results. In this particular case, a patient with missing teeth Nos. 3 and 5 had implants (Tri-Channel Nobel Biocare N1™ system) placed in both positions. The implants were ready to restore 3 months later. Healing abutments were removed, and impressions were taken using impression copings. Three weeks later, the patient appeared for placement of screw-retained implant crowns. Both healing abutments were removed, the crowns were inserted, and x-rays were taken to verify correct seating of the implant crowns. The screw-holes were covered as depicted.
KEY TAKEAWAYS
The use of OMNICHROMA composites and OMNICHROMA BLOCKER helps overcome the long-standing issue of visible gray circles when covering implant screw-holes and posts.
By addressing this challenge and covering implant screw-holes and gray-colored posts without creating visible gray circles, clinicians can enhance the overall esthetic outcome of their restoration, thereby improving patient satisfaction.
This patient case involving two implants on teeth Nos. 3 and 5 achieved successful implant crown placements and seamless restorations, demonstrating the clinical effectiveness of the systematic approach presented utilizing single-shade composites.
	Peter Auster, DMD
	Private Practice, Pomona, New York; 12 years in leadership at American Academy of Cosmetic Dentistry; Fellow, International College of Dentists and American College of Dentists; Dawson Academy Scholar; AACD Humanitarian of the Year