Case Report An Interdisciplinary Approach to Solving a Black Triangle Dilemma Andrew E. Skasko, DDS July 15, 2021 2 min read
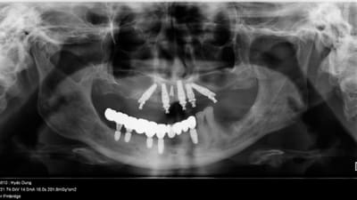
Case Report Treatment of a Maxillary Arch Featuring NobelProcera Zirconia Implant Bridge Dennis Nagata, DDS, James Michino, DMD July 15, 2021 2 min read
Case Report Clear Aligner Case: Treatment Achieved With Minimal Attachments Mario Chorak, DMD July 15, 2021 2 min read
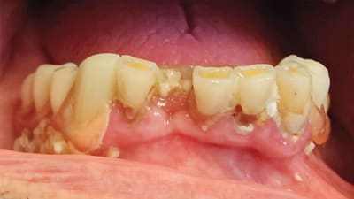
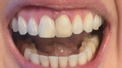
Case Report Direct Resin Restorations for Caries Treatment and Maintaining Dentition in a Patient With Dementia Gregori M. Kurtzman, DDS, MAGD, FACD, DICOI July 15, 2021 2 min read
Case Report Clear Aligners Alone Used to Correct Multiple Problems in Teenaged Patient Ly T. Mar, DMD, MSc, FRCDC July 15, 2021 2 min read
Case Report Isolating, Bonding, and Creating Composite Artistry Adamo E. Notarantonio, DDS, FICOI, FAACD July 15, 2021 2 min read
Case Report Intraoral Scanning Plays Integral Role in Resolving Anterior Spacing Cara A. Lund, DMD July 15, 2021 2 min read