Business of Dentistry Business of Dentistry The Power of Patient Communication in Facilitating Practice Growth By Jay Geier April 01, 2021 5 min read
Case Reports Prosthodontics Complete Digital Restoration: Implant-Supported Prosthesis Using Rapid Prototyping and a Model-Free Approach By Dimitrios Apostolakis, DDS, Dimitrios Nikolidakis, DDS, George Michelinakis, DDS April 01, 2021 11 min read
Case Reports Restorative Resin Bonding of a Lithium-Disilicate Crown Using a Ligated Rubber Dam: A 2-Year Case Report By Courtney S. Babb, DMD, Jacqueline Delash, DMD, Mario F. Romero, DDSDMD, Roger M. Arce, DDS, William W. Brackett, DDS April 01, 2021 11 min read
Continuing Education Periodontics Esthetic Restoration of Severely Discolored and Periodontically Compromised Teeth With Novel Digital Workflow By Julian Conejo, DDS, MSc , DDS, MSc , Markus B. Blatz, DMD, Pablo Atria, DDS, MSc, MPhil, PhD, Telmo Santos April 01, 2021
Continuing Education Implantology A Clinical Approach to Treatment of Retrograde Peri-Implantitis By Thomas G. Wiedemann, MDMD April 01, 2021
Clinical Technique Review Implantology Abutment Screw Loosening Due to Dental Laboratory Error By Douglas H. Mahn, DDS April 01, 2021 10 min read
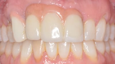
Complex Case Series Periodontics Rehabilitation of an Esthetic Compromise in a Patient Previously Treated With Maxillary Anterior Implants April 01, 2021 12 min read
Online Only Pediatric Dentistry Online Only Pediatric Phantom Dosimetry of a Portable Handheld X-Ray Device By Jackie Hwang, DMD, James E. Jones, DMD, Juan F. Yepes, DDS, K. Brandon Johnson, RDH, LaQuia A. Vinson, DDS, Qing Tang, MS April 01, 2021 21 min read
Online Only Online Only Denture Hygiene as It Relates to Denture Stomatitis: A Review By Franklin Garcia-Godoy, DDS, Michael McBride, DDS, Ray Galvan, DDS, Tom V. Korioth, DDS April 01, 2021 11 min read
Oral Health Insights Oral Medicine Maintaining a Safe, Healthy, and Viable Practice By Gino DeSimone, Paul Fugazzotto, DDS April 01, 2021 5 min read
Products in Practice Immediate Implant Solution to Improve Long-Term Esthetics, Enhance Patient Satisfaction By Scott Silverstein, DDS April 01, 2021 9 min read
Products in Practice Socket Preparation for Delayed Implant Placement Using a Mineralized Cancellous Allograft By Gregori M. Kurtzman, DDS, Robert A. Horowitz, DDS April 01, 2021 17 min read