Business of Dentistry Business of Dentistry Serving Your Patients in a Post-COVID-19 World By Naomi Cooper June 01, 2020 5 min read
Roundtable Implantology Periodontics Prosthodontics Screw- Vs. Cement-Retained Implant Restorations: What Emerging Trends Should Clinicians Consider? By Chandur Wadhwani, BDS, DDS June 01, 2020 9 min read
Continuing Education Oral Surgery Guidelines for the Biopsy of Oral Mucosal Lesions Using a Laser By Christopher J. Walinski, DDS, Duane R. Schafer, DDS, Keng-Liang Ou, MS, Tracy M. Liang June 01, 2020
Continuing Education Specialty Care General Dentistry The Dental Patient With Schizophrenia: What Clinicians Should Know By Aviv Ouanounou, BSc, DDS, Jessica Kehler June 01, 2020
Case Reports Implantology Observed Healing of an Immediately Placed Implant in a Molar Site Without Bone Replacement Graft or Primary Closure By Noam Saltzburg, DDS, Philip Kang, DDS June 01, 2020 10 min read
Case Series Oral Surgery Implantology Periodontics An Atraumatic Approach to Internal Sinus Lifting: The Motorized Expansion Drill Technique By Debby Hwang, DMD, Michael K. Sonick, DMD, Rui Ma, DMD June 01, 2020 11 min read
Clinical Technique Review A Novel Design of a Pick-up–Type Impression Coping By Motoharu Unozawa, DDS, Stuart J. Froum, DDS, Stuti Muchhala, BDS June 01, 2020 10 min read
Special Report Orthodontics The Proliferation of Clear Aligner Orthodontics: Workflows, Materials, and Designs By Melissa D. Shotell, DMD June 01, 2020 8 min read
Special Reports: In-Depth Look ClearCorrect™ Clear Aligners Inspire Clinician to Specialize in Orthodontics June 01, 2020 4 min read
The Voice Anti-Vaping Education of Dental Patients: A Call to Action By Cynthia Jetter, DMD, Darlene Saggiomo, RDH, Jason Tsai, Jill York, DDS June 01, 2020 5 min read
Online Only Pediatric Dentistry Orthodontics Online Only A Review of Research Studies on Sleep-Disordered Breathing in Children Relevant to Dental Professionals By Earl O. Bergersen, DDS, MSD, DDS, MSD June 01, 2020 23 min read
Online Only Infection Control General Dentistry Online Only Back-to-Work Treatment Recommendations: Aerosol Containment, Dental Hygiene Procedures, and Personal Safety Practices By Dani Botbyl, RDH, Elizabeth Ryerse, RDH, Timothy Donley, DDS June 01, 2020 10 min read
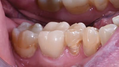
Products in Practice Restorative Digital Workflow Across Multiple Practices Achieves Efficient and Esthetic Results By Laura Justice, DMD June 01, 2020 13 min read