Business of Dentistry Business of Dentistry Responding Wisely to Unsolicited Offers to Buy Your Practice April 01, 2020 7 min read
Case Reports Orthodontics Oral Surgery Segmental Osteotomy in the Correction of an Anterior Open Bite: A Case Report By Mehand Boufassa, DDS, Peter Tawil, DDSDDS April 01, 2020 13 min read
Clinical Technique Review Periodontics Oral Surgery Sulcular Modified Internal Labial Enhancement (SMILE) Technique for Gingival Augmentation By David Anson, DDS, Robert A. Horowitz, DDS April 01, 2020 18 min read
Clinical Research Implantology A Retrospective Study of a Multi-Center Case Series of 452 Zygomatic Implants Placed Over 5 Years for Treatment of Severe Maxillary Atrophy By Carlos Villegas, DDS, Jardin Yousef, BS, Paul S. Petrungaro, DDS, Santiago Gonzalez, DDS April 01, 2020 25 min read
Roundtable Pediatric Dentistry Orthodontics General Dentistry Upper Airways and Obstructive Sleep Apnea: What Should Dentists Do for Their Patients? By Juan Martin Palomo, DDS, Mitchell R. Levine, DMD April 01, 2020 9 min read
Special Reports: In-Depth Look DiaDent’s Dia-Duo Cordless Obturation System Facilitates, Simplifies Endodontic Procedures April 01, 2020 4 min read
Special Report Endodontics Pain Management Endodontic Pain Management: Preoperative, Perioperative, and Postoperative Strategies By Brooke Blicher, DMD, Rebekah Lucier Pryles, DMD April 01, 2020 8 min read
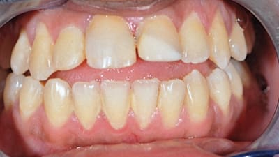
Continuing Education Restorative Applying Classical Esthetic Principles to Create a Predictable Illusion of Symmetry While Using Digital Technology By Joyce Bassett, DDS April 01, 2020
Continuing Education Endodontics Determining the Correct Course of Endodontic Retreatment With No Patient History Available By Daniel Oh, DDS, James Bahcall, DMDDMDDMD, Mark Baker, DDS, Qian Xie, DDS, Steve Weeks, DDS April 01, 2020
Online Only Online Only Orthodontics How a Discrepancy Between Centric Relation and Maximum Intercuspation Alters Cephalometric and Condylar Measurements By Giordani Santos Silveira, DDS, Ildeu Andrade Jr., DDS, Juan Martin Palomo, DDS, Martinho Campolina Rebello Horta, DDS, Paulo Isaias Seraidarian, DDS, Raquel Parreiras Ferreira, DDS April 01, 2020 15 min read
Online Only Online Only Implantology Marginal Bone Changes on Ultraclean, Micro-Threaded Platform-Switched Implants Following Restoration: 1- to 4-Year Data By Dennis Tarnow, DDS, Lauren Lehrfield, BSc, Michael Klein, DDS April 01, 2020 27 min read
Online Only General Dentistry Infection Control Online Only What Dentists, Their Staff, and Patients Need to Know About a Dental Visit in the Age of Coronavirus By Paul S. Rosen, DMD, Robert A. Horowitz, DDS April 01, 2020 11 min read