Thomas Peterson, MDT, CDT
Most laboratory technicians are familiar with the LOCATOR® Attachment System, introduced by Zest Dental Solutions (zestdent.com) in 2001. Clinicians have chosen it to retain removable partial and complete dentures over freestanding implant abutments and bars. Early in 2016, Zest Dental Solutions released the LOCATOR R-Tx® Removable Attachment System, an improved version of the original LOCATOR system. Improvements were made in wear resistance, seating insertion, and increased capacity to seat over misaligned implants. However, the R-Tx system was still limited to removable prosthetics.
In October 2016, Zest Dental Solutions released the LOCATOR F-Tx® Fixed Attachment System, designed to secure the patient's prosthesis in a fixed manner; it may only be removed by the clinician. Advantages to this system include rigidly fixed restoration for the patient, easy retrievability for the clinician, and the ability to be used on various implant systems. The attachment system can be considered with implants tilted up to 20° from a common path of insertion. This article describes the LOCATOR F-Tx system and explains how technicians have used it to successfully fabricate complete fixed maxillary and mandibular definitive prostheses in a cost-efficient manner.
The LOCATOR F-Tx system consists of a straight abutment, impression coping, abutment analog, healing cap, denture attachment housing, processing and retention balls, block-out spacer, waxing cap, processing cap, and polishing cap (Figure 1). Tools include the abutment driver (manual and latch type), retention ball driver, and three types of prosthesis removal tools.
The abutment is available in five to six cuff heights from 1.5 mm or 2 mm to 6 mm in height, depending on the implant system. It has a gingiva-colored titanium carbon nitride wear-resistant coating similar to the LOCATOR R-Tx and has a spherical-shaped coronal portion. The coronal portion has a recess that is machined to accept the abutment driver for insertion/removal. Also, this recess serves as the receptacle of the processing/retention ball. The spherical shape allows the attachment housing to pivot to achieve parallelism and eliminates the need for angulated abutments. One of the author's laboratory's clients prefers that the apical portion of the sphere be placed at the gingival height or above. The manufacturer recommends matching the cuff height to the tissue depth at its deepest point. If any portion of the bottom half of the sphere is supragingival, care must be taken to block out this area when processing. The laboratory maintains an inventory of various cuff heights to assist with abutment selection. The denture attachment housing that connects to the abutment adds 4.1 mm of height to the cuff for total 5.6 mm minimum vertical height from the implant platform.
The denture attachment housing is anodized pink. It comes with a black processing ball in place, which can be unscrewed with the dedicated hex ball driver and replaced with a retention ball of choice. The retention balls are polyether ether ketone (PEEK) high-performance polymer and are available in color-coded retention levels of low (blue), medium (tan), and high (green) retention. During finishing or polishing of the prosthesis, the processing ball may be removed and the polishing cap screwed into the denture attachment housing to protect the machined surface of the housing.
Impression copings and analogs are available to use when the dentist desires to select and install the abutments and have the laboratory fabricate the prosthesis. Healing caps are available to place onto the abutments to protect the attachment mechanism of the abutments when left in the mouth.
The author's laboratory has fabricated prostheses utilizing the LOCATOR F-Tx system for different circumstances, such as immediate load with Navigator® (Zimmer Biomet, zimmerbiometdental.com) protocol, replacement for existing screw-retained prostheses, and typical delayed-load cases. After the implant cast is mounted accurately and the correct position of the denture teeth is known, the laboratory's protocol for fabricating the prosthesis is the same. The following case illustrates the technique.
Case Report
The dentist supplied the laboratory with an implant-level impression, opposing cast, preoperative cast, and bite registration. The soft-tissue cast was poured with nine implant analogs using low-expansion die stone (Diamond Die™, Hi-Tec Dental Products, hi-techdental-com.3dcartstores.com). The preoperative cast was mounted against the lower opposing cast on a Stratos® 200 articulator (Ivoclar Vivadent, ivoclarvivadent.com) using the bite registration supplied by the dentist. A laboratory silicone bite registration (Zetalabor® 85 Shore-A, Zhermack, zhermack.com) was made on the articulator, which recorded the palatal of the maxillary preoperative cast relative to the opposing cast in maximum intercuspation position. The soft-tissue implant cast was fitted to the silicone matrix and was mounted in the same position as the preoperative cast. Denture teeth were selected based on the preoperative cast and then set up on the implant cast. Two silicone matrixes were fabricated: one keyed to the cast showing the facial contours of the wax setup, the second totally closed for the fabrication of the processed resin.
The wax setup was removed from the cast, and LOCATOR F-Tx abutments were secured to the implant analogs. The abutment heights were selected by the dentist to position the apical end of the sphere at the free gingival margin. The denture attachment housings were snapped onto the abutments and uprighted to fit within the confines of the prosthesis. The waxing caps were placed onto the denture attachment housings (Figure 2). The extensions on these waxing caps were removed. A wax-up, designed to reinforce the prosthesis, was made around these caps using the silicone matrix as a guide (Figure 3). The pattern was invested and cast in cobalt-chrome alloy (Wirobond® C, Bego, bego.com). The casting was air abraded with 100 µm aluminum oxide, steam cleaned, and then opaqued with Sinfony™ Opaquer (3M, 3m.com). The metal attachment housings were blocked out with wax on the cast, except for one that was intended to be processed in the laboratory. The original thinking was that processing one attachment indirectly would be helpful, but the laboratory's protocol has since been revised to have all the attachments processed in the mouth.
The opaqued framework was placed over the blocked-out housings on the cast. Acrylic resin (New Outline, Anaxdent®, anaxdentusa.com) was mixed, flowed around the framework on the cast, filled into the second silicone matrix, and seated onto the cast, allowing excess resin to flow out of the matrix, according to the technique of Magne.1 The cast with resin was placed in a pressure pot in 125°F water at 15 lbs of pressure for 10 minutes to fully cure. The cured resin prosthesis was removed from the cast and trimmed. A pink, 2-mm buccal flange was then added to the prosthesis freehand (ProBase® Cold, Ivoclar Vivadent), and it was again cured in the pressure pot. A small buccal and lingual flange in pink resin is helpful in stabilizing the prosthesis when processing the denture attachment housings intraorally.
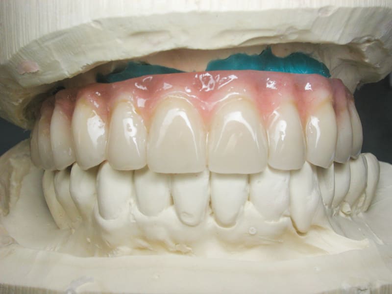
The acrylic resin was then finished and polished. Horizontal undercuts were ground into the axial surface of the wells. This provided mechanical retention for intraoral processing of the denture attachment housings. The openings on the lingual aspect were reopened and refined (Figure 4). For the one denture attachment housing that was processed in the prosthesis, the black processing ball was unscrewed and a polishing cap was attached to protect the machined surface. After finishing, a new black processing ball was inserted and the prosthesis reseated on the cast (Figure 5). Finally, a bite registration index was fabricated on the articulator to assist the dentist with exact placement of the prosthesis (Blu-Mousse®, Parkell, parkell.com). The abutments, denture attachment housings, and prosthesis were then cleaned and packaged for the client for delivery. At try-in, the dentist had to remove the one processed attachment due to lack of engagement, which encouraged protocol as stated earlier with all pick-up of the housings done chairside. The dentist processed all the metal housings chairside after eliminating all abutment undercuts with the block-out spacers. CHAIRSIDE Attachment Processing Material (Zest Dental Solutions) was injected through the lingual openings to secure the metal housings to the prosthesis. The black processing balls were then removed and replaced with the proper retention balls, and the prosthesis was seated and verified.
Discussion
The method above describes how the author's laboratory fabricates a metal-reinforced acrylic resin prosthesis, intended as the definitive restoration, supported and retained by LOCATOR F-Tx abutments. The laboratory calls this prosthesis the del Castillo bridge after the periodontist who originally conceived it, Robert A. del Castillo, DMD, of Miami Lakes, Florida. The laboratory has been fabricating these bridges for 10 years, originally as immediate-load screw-retained bridges retained by non-engaging titanium cylinders. The idea was to deliver a strong, esthetic, and cost-effective final restoration at the time of extraction of hopeless teeth and insertion of dental implants. The laboratory would process one cylinder into the prosthesis, and the dentist would process the remaining through the holes the laboratory made through the prosthesis. The dentist in this case has remarked that he has seen a dramatic decrease in the amount of time it takes to deliver a del Castillo bridge with LOCATOR F-Tx abutments because there are no screws to contend with or occlusal holes to repair.
The laboratory has had only one instance of restorative material failure: a piece of acrylic broke at an incisal edge shortly after delivery. A second prosthesis was fabricated to switch out and repair the first; the patient now maintains a spare. A few patients with opposing porcelain or zirconia bridgework tend to wear the acrylic resin more quickly and require stripping and new acrylic resin every couple of years. Many cases hold up very well for much longer. Anyone regularly fabricating maxillary and mandibular fixed-detachable prostheses on milled CAD/CAM titanium frameworks is aware they are not without problems. The laboratory's recommendation is to fabricate two prostheses so the patient never needs to go without teeth during normal maintenance or any catastrophic event.
ABOUT THE AUTHOR
Thomas Peterson, MDT, CDT
President, NORTHSHORE Dental Laboratories, Inc.
Lynn, Massachusetts
ACKNOWLEDGMENT
The author would like to acknowledge Alex Zorin, the highly skilled technician who fabricated the prosthesis.
Reference
1. Magne M, Magne P, Cascione D, Munck I. Optimized laboratory-fabricated provisionals: Esthetic provisional restorations using the sandwich technique. Dental Dialogue. April 2006:68-76.