Business of Dentistry Business | Practice Management Growing a Practice: Smart Use of Digital Tools Can Increase Revenue By James W. Ramey October 01, 2013 8 min read
Continuing Education Diagnosis and Treatment Planning Bridging the Gap Between Preventive and Restorative Dentistry: Identification of Caries Risk Factors and Strategies for Minimizing Risk By Pamela M. Maragliano-Muniz, DMD October 01, 2013
Continuing Education Diagnosis and Treatment Planning The Dentist’s Role in Diagnosis and Treatment of Halitosis By Kristina Rodriguez Salaverry, DDS, Stuart J. Froum, DDS October 01, 2013
Case Reports General Dentistry Case Studies One Abutment–One Time: The Negative Effect of Uncontrolled Abutment Margin Depths and Excess Cement—A Case Report By Lloyd M. Tucker, DMD October 01, 2013 13 min read
Kois Center Case Case Studies Restorative Direct Restorative “Training Teeth”: Transitional Resin Bonding for Diagnostic Purposes By Sandra Hulac, DDS October 01, 2013 12 min read
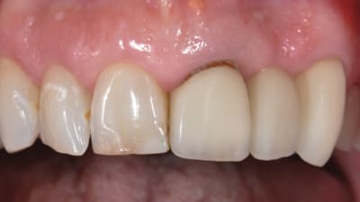
Clinical Updates Implants Restorative Direct Retrieval of a Defective Cement-Retained Implant Prosthesis By Edward A. McLaren, DDS, Todd R. Schoenbaum, DDS, MS October 01, 2013 12 min read
Special Report Restorative Direct Restorative Adhesive Dentistry: 2013 and Into the Future By David S. Alleman, DDS, Simone Deliperi, DDS October 01, 2013 8 min read
Special Report 3M ESPE’s High-Performing Adhesives: Meeting the Wide Array of Dentists’ Needs October 01, 2013 4 min read
Special Report Case Studies BISCO ALL-BOND UNIVERSAL®: A Reliable, Effective One-Bottle Adhesive Solution October 01, 2013 4 min read
Special Report DENTSPLY Caulk’s Prime&Bond Elect® Universal Adhesive—All About Strength and Simplification October 01, 2013 4 min read
Special Report Pulpdent High on Total-Etch Adhesion Today, Sees Rise in Bioactive Materials Ahead October 01, 2013 4 min read
Special Report Shofu Focusing on “Healing Adhesives” for 6th and 7th Generations and Beyond October 01, 2013 4 min read
Special Report Ultradent’s Peak® Universal Adhesive Performs As Self-Etch Or Total-Etch—Without Compromise October 01, 2013 4 min read
The Voice Executive Director of AAP Reflects on Past, Shares Plans for the Future By Ellen Meyer, MBA October 01, 2013 5 min read
Departments Restorative Direct Restorative New Text Details Principles Behind Adhesive Dentistry By John Burgess, DDS October 01, 2013 3 min read
Online Only Periodontics Online Only An Unusual Case of Gingival Enlargement: Peripheral Odontogenic Fibroma By Jacob Shiloah, DMD, Norman Fine, DMD, Rania Livada, DDS October 01, 2013 11 min read
Online Only Prosthodontics Online Only Maxillofacial Prosthetics: History to Modern Applications. Part 2 – Speech and Swallow Prostheses By Gregory J. Paprocki, DDS October 01, 2013 12 min read