Business of Dentistry Business | Practice Management Patient Communications in the Digital Age By Diana P. Friedman, MA June 01, 2012 4 min read
The Voice Periodontics General Dentistry The AHA Scientific Statement on Periodontal Disease and ASVD: How Should Clinicians Respond? By Michael P. Rethman, DDS June 01, 2012 6 min read
Continuing Education General Dentistry Proactive Intervention Dentistry: A Model for Oral Care through Life By Fay Goldstep, DDS June 01, 2012
Continuing Education Specialty Care The Oral-Medical Disease Connection: Pregnancy, Cardiovascular Disease, and Diabetes By Scott S. De Rossi, DMD, Thomas P. Sollecito, DMDDMD June 01, 2012
Case Reports Implants Case Studies Enhancing Extraction Socket Therapy with a Biphasic Calcium Sulfate By Hari S. Prasad BS, MDT, Michael D. Rohrer, DDS, Nick Tovar, PhD, Robert A. Horowitz, DDS, Ziv Mazor, DMD June 01, 2012 17 min read
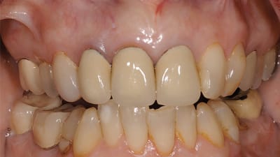
Kois Center Case Ortho Products Endodontics Restorative Indirect Periodontics Restorative Cosmetic Concerns Provide Opportunity for Comprehensive Dentistry By Jeff Files, DDS June 01, 2012 14 min read
Special Report Restorative Direct Restorative High Demand for Composites a Driving Force for Curing Light Advancements By James F. Simon, DDS June 01, 2012 7 min read
Special Report CAO Group’s Curing Lights Deliver Ergonomics, Controlled Power June 01, 2012 6 min read
Special Report Ivoclar Vivadent’s bluephase® style Offers Clinicians Convenience, Comfort June 01, 2012 4 min read
Special Report Versatility, Durability are Hallmarks of Ultradent’s VALO® Curing Lights June 01, 2012 6 min read
Practical Application Restorative Indirect Restorative A Direct Technique for Fabricating Esthetic Anterior Fixed Provisional Restorations Using Polycarbonate Veneers June 01, 2012 9 min read
Online Only Endodontics Periodontics General Dentistry Case Studies Online Only Apical Barrier Technique with Mineral Trioxide Aggregate Using Internal Matrix: A Case Report By Manoj Kumar Hans, MDS, Ravi Sood, BDS, Shashit Shetty, MDS June 01, 2012 9 min read
Online Only Endodontics Case Studies Online Only Case Report: Uncommon Maxillary Lateral Incisor with a Type 3 Invagination and C-Shaped Root Canal System By James A. Dryden, DDS, Ronald R. Riley, DDS June 01, 2012 10 min read