Abstract: The LOCATOR FIXED® system offers a cost-effective, efficient fixed full-arch prosthetic solution using existing LOCATOR abutments and a simplified pickup workflow. It provides enhanced function, esthetics, and stability compared to conventional dentures or overdentures. This article describes the system’s components, clinical indications, workflow, and a case report demonstrating its use in achieving predictable, fixed implant-supported restorations.
The LOCATOR FIXED® system (Zest Dental Solutions, zestdent.com) delivers a fixed full-arch solution using existing LOCATOR abutments and a familiar pickup workflow. Laboratory cost is reduced as compared to other conventional full-arch implant prostheses.1 Chairtime required for fabrication and processing is efficient and straightforward. LOCATOR FIXED® offers patients another treatment option, serving as an upgraded treatment to conventional dentures and removable overdentures. Conveniently, no screws or cement are needed as in screw-retained or cementable implant-retained prostheses.
LOCATOR products have long been recognized for their capabilities in restoring function, esthetics, and quality of life. While dentures may be a cost-effective means to provide esthetics and some semblance of function, many individuals request improvement for ill-fitting conventional dentures. Implant-retained overdentures provide some security and retention, especially in the mandibular arch. Increasing the number and spacing of implants within an arch increases stability.2 However, patients often inquire about fixed prostheses, but, unfortunately, the price point is frequently unattainable.
An Attainable Fixed-Arch Solution
The LOCATOR FIXED® option provides the prosthetic results many patients desire at an attainable price point. Abutments are threaded into precisely placed implants in either arch. Housing and inserts are processed into the prescribed appliance. LOCATOR FIXED® uses the same LOCATOR abutment but with an improved housing with precision milled inserts, making the appliance removable by only the dental professional and not the patient.3 The LOCATOR FIXED® housing is engineered to have high retention/bond strength while maintaining the same pickup method as existing LOCATOR housings. The proprietary LOCATOR FIXED® inserts are made of a rigid material designed to match the inner geometry of the LOCATOR FIXED® housing to create the interaction needed in the system to perform as a fixed full-arch solution.4 The system can be used with implant divergences up to a total of 20 degrees per implant or 40 degrees between implants. Corrections from more divergent implants can also now be corrected easily using LOCATOR Angled Abutments.
A LOCATOR FIXED® Seating and Removal Tool is needed to precisely and completely seat the housings to the LOCATOR abutments, and an enhanced core tool provides easy conversion of the attachments. Depending on the clinical circumstances, spacing of the dental implants around the maxillary or mandibular arch is an important consideration. The number of implants determine the choice of attachments used. With four ideally placed implants, green inserts are used to provide fixed retention on All-on-4 cases. When five or six implants are used, blue inserts are chosen for the mid-arch positions and tan inserts for the anterior/posterior positions.
The LOCATOR FIXED® solution has the exact same stack-up height as LOCATOR removable overdentures, allowing for fixed treatment in 9 mm to 11 mm of prosthetic space.3 Normally, with other implant-retained fixed prostheses this interocclusal space ranges between 12 mm and 15 mm, which necessitates significant bone reduction.5 Mandibular function is improved to 80% of natural teeth function with LOCATOR FIXED®, a significant improvement over the 20% improved function with a conventional denture and 60% with overdentures.2
The requirements for LOCATOR FIXED® are relatively straightforward. At least four implants with proper cross-arch stabilization are mandated. The implants must have a minimum of 35 Ncm or full osseointegration prior to loading.6 Angled corrections up to 20 degrees per implant in any direction are possible with stock LOCATOR abutments. Corrections of an additional 15 degrees can now be made with LOCATOR Angled Abutments. Cantilevers should be no more than 1X the anterior-posterior (AP) spread. Finally, for patients who are bruxers and/or clenchers, there should be no more than a 0.5 AP spread.
When treatment planning and designing the prosthesis, proper selection of the cuff size is imperative. The prosthesis should sit above the tissue for maintenance purposes. Depending on the choice of restorative materials, additional vertical clearance may be required. A LOCATOR attachment allows for fixed treatment in 9 mm to 11 mm of prosthetic space rather than the required 12 mm to 15 mm for more conventional screw-retained implant prostheses.3 Also, the prosthesis should extend at least 2 mm past the most posterior abutment to allow the removal loop to engage the prosthesis for its removal.7
In the case presented, due to anatomical restraints the implant was placed in viable bone but in a facially angled position. LOCATOR Angled Abutments were used to correct implant angulation by 15 degrees. The LOCATOR system can restore up to an additional 20 degrees of divergence with the use of the LOCATOR removable extended range or LOCATOR FIXED® inserts. Thus, a total divergence of up to 35 degrees is possible per implant/abutment. The LOCATOR FIXED® inserts are compatible with the LOCATOR abutments in place. This ability to angle the new implant abutment allows treatment flexibility, enables the avoidance of critical anatomy in implant placement, and increases the AP spread to limit the distal cantilevers. The resulting properly aligned abutments lower the risk of fracture and loosening and ensure optimal retention and long-term stability. Seating of the newly fabricated LOCATOR FIXED® prosthesis becomes highly accurate for improved function and for meeting patients’ expectations for a palateless, non-removable bridge-type appliance.
Case Report
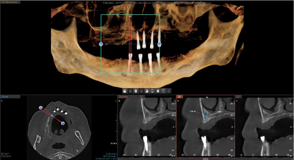
A 67-year-old female patient had a chief complaint of being unhappy with a previously fabricated full palate covered LOCATOR overdenture. The implant positioning was adequate, but the AP spread was not suitable to retain a palateless overdenture nor a fixed implant prosthesis. Five implants had apparently been placed previously but the maxillary right implant had not integrated properly and was removed prior to her evaluation in this practice. There were no significant health issues or medication concerns. She requested “permanent teeth” to improve her quality of life, function, and esthetics. The periodontal health around the existing dental implants was good, with no significant concerns. Figure 1 illustrates the esthetics created by the recently made maxillary and mandibular LOCATOR overdentures. The dentures provided some increased stability and function, but the patient’s concern was that they were not what was promised (Figure 2). CBCT analysis indicated some compromised bone contours where the maxillary right posterior implant has been avulsed (Figure 3). A newly placed fifth dental implant was needed to support any fixed prosthesis in this compromised edentulous arch. A new 3.5 mm x 10 mm HT™ dental implant (Glidewell, glidewelldental.com) was strategically positioned in front of the large maxillary sinus to provide distal support for the final prosthesis (Figure 4).
Several treatment options were discussed with the patient, including the popular screw-retained implant prosthesis, fabrication of a new palateless implant-retained overdenture, or use of the existing LOCATOR abutments and insertion of an additional implant to improve the AP spread along with fabrication of a zirconia (BruxZir®, Glidewell) LOCATOR FIXED® prosthesis. The patient chose the latter option.
The 3.5 mm x 10 mm HT dental implant successfully integrated in the available hard tissue in the maxillary right second bicuspid area. The implant had been allowed to integrate for approximately 4 months and the patient wore the existing fabricated full palatally covered implant-retained LOCATOR overdenture during the healing period.
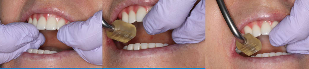
Due to the angulation of the implant placement, a 15-degree angled LOCATOR abutment was placed (Figure 5 and Figure 6). Angulation pins were passively placed into the LOCATOR abutments to determine proper spacing (Figure 7). The existing maxillary and mandibular appliances were scanned (fastcscan io™ with Medit® i700®, Glidewell) for the laboratory to design the initial try-in appliance prior to milling of the final zirconia LOCATOR FIXED® prosthesis (Figure 8). LOCATOR scan bodies were placed, and the LOCATOR level digital impression was made (Figure 9).
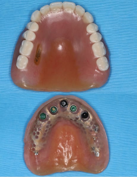
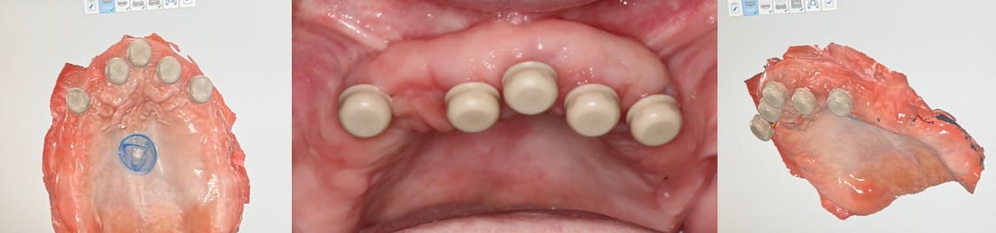
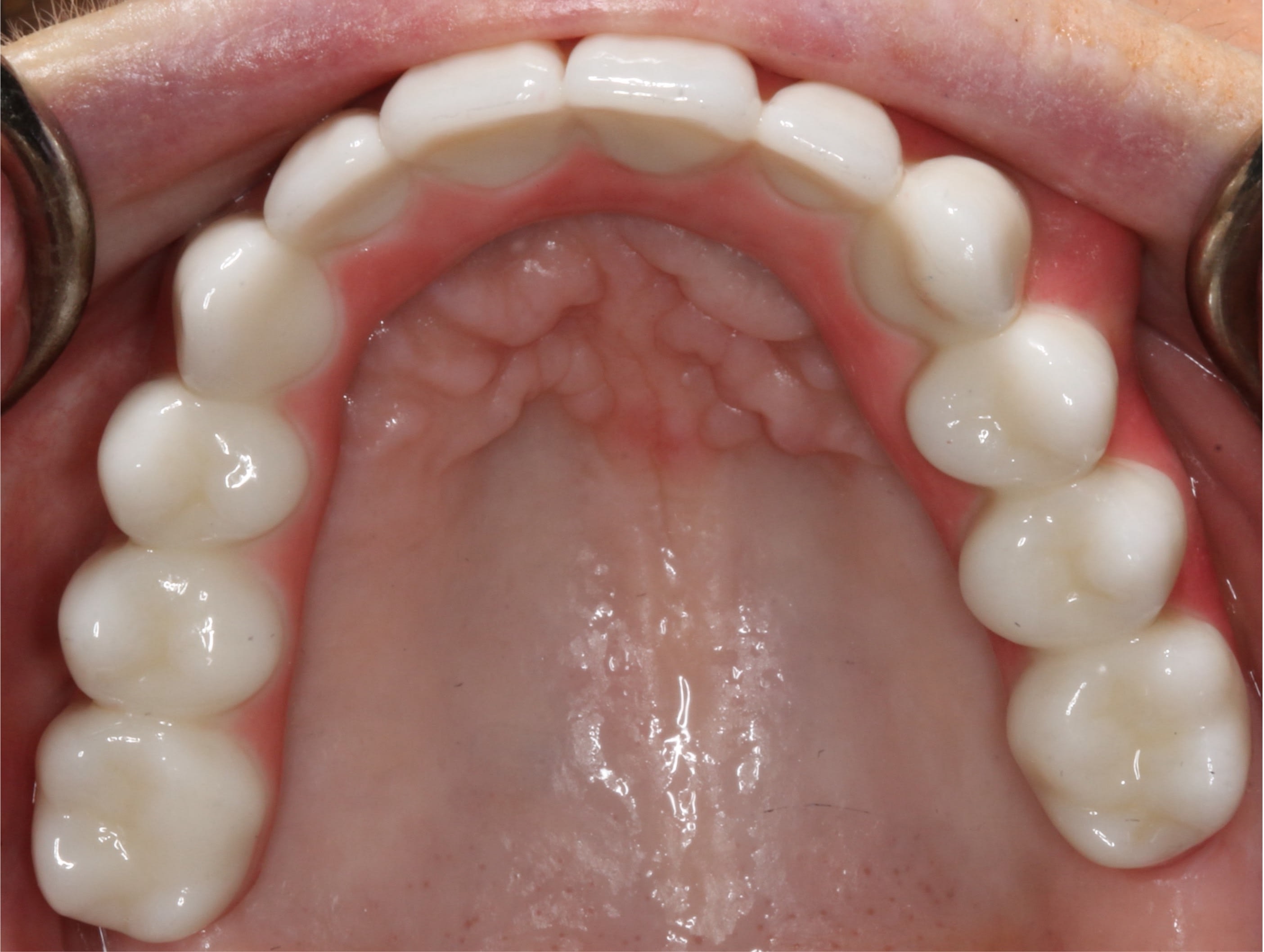
A polymethyl methacrylate (PMMA) appliance was verified for occlusion and esthetics (Figure 10). Once esthetics were evaluated and approved the final LOCATOR FIXED® prosthesis was processed in BruxZir zirconia (Glidewell). The black laboratory procession attachments were removed and replaced with the appropriate final LOCATOR FIXED® insert (Figure 11). The LOCATOR abutments and processing attachments are illustrated in Figure 12, which shows the tools for seating and removing the proprietary inserts and the insertion and removal tools. Proper inserts were selected and positioned per the manufacturer’s instructions (Figure 13). The final zirconia fixed prosthesis was seated using the seating tool and evaluated for stability (Figure 14). The prosthesis allowed for minimal palatal coverage, and the functional and esthetic maxillary reconstruction was complete (Figure 15 and Figure 16).
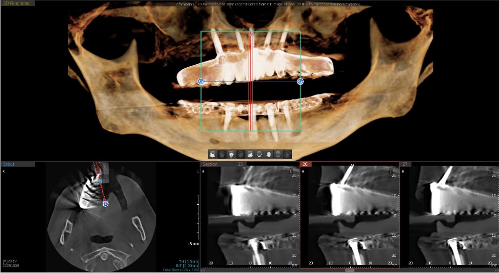
The patient was so pleased with the function, esthetics, and retention and the elimination of the palatal coverage that she requested a mandibular LOCATOR FIXED® restoration to replace the existing LOCATOR overdenture. Figure 17 illustrates the removal tool of this fixed prosthesis. The instrument engages under the bridge’s distal extensions for removal. Final CBCT analysis indicated acceptable integration of the dental implants supporting the fixed prosthesis (Figure 18).
Conclusion
Precise fabrication of full-arch implant prostheses requires careful planning and proper diagnosing and treatment planning to meet patients’ expectations and provide long-term function and esthetics. Complexities exist in both the maxillary and mandibular arches that may inhibit the practitioner’s ability to provide an optimal restorative solution. Anatomic restrictions include inadequate height or width of available hard tissue, large fallen maxillary sinuses in the posterior, and the mandibular canal and nerve in the mandible such as prominent lingual concavities. The patient’s expectations are determined through careful and thorough communication and discussion. Interocclusal distance, final tooth position, occlusal harmony, and proper facial support are determined virtually through digital processes. Intraoral scanning, CBCT analysis, photography, and even facial scanning help ensure an acceptable result.
DISCLOSURE
This article was commercially supported by Zest Dental Solutions.
ABOUT THE AUTHOR
Timothy Kosinski, DDS, MAGD
Affiliated Adjunct Clinical Professor, University of Detroit Mercy School of Dentistry; Private Practice, Bingham Farms, Michigan
References
- Cost analysis: traditional bar overdentures vs. LOCATOR FIXED® solutions. Zest Dental Solutions Blog. November 7, 2024. https://www.zestdent.com/blog/cost-analysis-traditional-bar-overdentures-vs-locator-fixed-solutions. Accessed December 22, 2025.
- Delucchi F, De Giovanni E, Pesce P, et al. Framework materials for full-arch implant-supported rehabilitations: a systematic review of clinical studies. Materials (Basel). 2021;14(12):3251.
- Messias A, Karasan D, Nicolau P, et al. Rehabilitation of full-arch edentulism with fixed or removable dentures retained by root-form dental implants: a systematic review of outcomes and outcome measures used in clinical research in the last 10 years. Clin Oral Implants Res. 2023;34 suppl 25:38-54.
- Duong HY, Roccuzzo A, Stähli A, et al. Oral health-related quality of life of patients rehabilitated with fixed and removable implant-supported dental prostheses. Periodontol 2000. 2022;88(1):201-237.
- Scherer MD. When to use laboratory vs. chairside processing of overdentures. Inside Dental Technology. 2021;12(5):16-23.
- Kutkut A, Bertoli E, Frazer R, et al. A systematic review of studies comparing conventional complete denture and implant retained overdenture. J Prosthodont Res. 2018;62(1):1-9.
- Carpentieri J, Greenstein G, Cavallaro J. Hierarchy of restorative space required for different types of dental implant prostheses. J Am Dent Assoc. 2019;150(8):695-706.