By Robert A. Levine, DDS, Alberto Monje, DDS, MS, PhD, Muhammad H.A. Saleh, BDS, MSD, MS, Debora R. Dias, DDS, MSc, Khushboo Kalani, DDS, MS, Harold M. Pinsky, DDS, Jeffrey Ganeles, DMD, Franck Renouard, DDS, Mauricio G. Araujo, DDS, MSc, PhD
This article focuses on operator factors when treating peri-implantitis and presents a stepwise approach to eight essential keys for successful regenerative/reparative treatment of peri-implantitis defects.
The case demonstrates the effectiveness of combining CBM and custom TM for complex bone augmentation, offering a predictable and stable foundation for dental implants.
By Zev Kaufman, DDS, Klenise S. Paranhos, DDS, MS, Ludovic F. de Carle, DDS, Mary Kang, DDS
Today, providers can incorporate digital technology into many of the clinical steps to minimize the number of visits and procedure time needed to fabricate a complete denture.
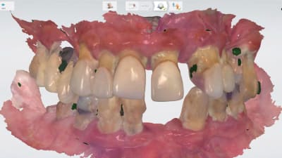
With just a WiFi connection, the Primescan 2 intraoral scanner can capture high-precision digital impressions, which are immediately available to view on any connected device via the DS Core portal.
Today, Alpha Omega has evolved into a global organization that fights antisemitism, supports dental schools and centers in Israel, and fosters a community that helps dental students and professionals excel in their profession.