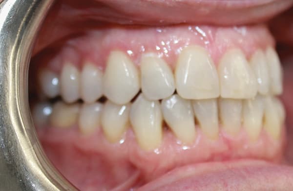
A 61-year-old female patient presented with a mild anterior open bite and moderate lower crowding, proclined maxillary anteriors, retroclined mandibular anteriors, and midline discrepancies. Her specific treatment plan included a total of 18 ClearCorrect® aligners (Straumann, clearcorrect.com) in two phases, spread over 36 weeks, with approximately 0.6 mm of interproximal reduction necessary. Engagers were placed on teeth Nos. 7 through 10 and 22 through 27, with a 2-week wear time duration. Treatment progressed without any issues, and at the start of the second phase of aligner treatment two additional engagers were placed on teeth Nos. 6 and 11. With ClearCorrect's proprietary tri-layer material ClearQuartz™, the thickness of each aligner acts as a barrier that helps prevent tongue thrusting while assisting in maintaining proper tongue position. Upon completion of the second phase, the case demonstrated the desired alignment, with corrected incisal rotations and angles, along with notable enhancements in overjet, overbite, and midlines. The patient found wearing the clear aligners to be manageable and esthetically pleasing, and she was delighted with the outcome. ClearCorrect proved to be an exceptional choice for the patient, who valued the aligners' convenient removability for special events and situations, as well as their easy maintenance.
KEY TAKEAWAYS
ClearCorrect's proprietary ClearQuartz material provides greater orthodontic control by combining an elastomeric
inner layer with two outer layers of resilient polymers that deliver
remarkable durability.
ClearCorrect aligners have been proven to be more stain-resistant than the leading aligner brand (data on file).
Extending beyond the gingival margin, aligners with a high and flat trimline have been clinically proven to optimize force transmission for more accurate tooth movement and enhanced root control.*
*Elshazly TM, Keilig L, Salvatori D, et al. Effect of trimming line design and edge extension of orthodontic aligners on force transmission: an in vitro study. J Dent. 2022;125:104276.
Yan Kalika, DMD, MS
Private Practice limited to Orthodontics,
San Francisco, California