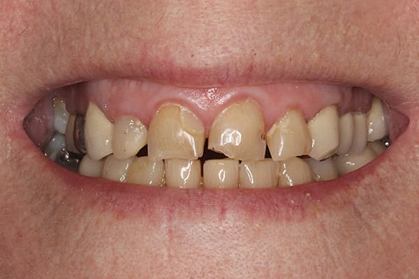
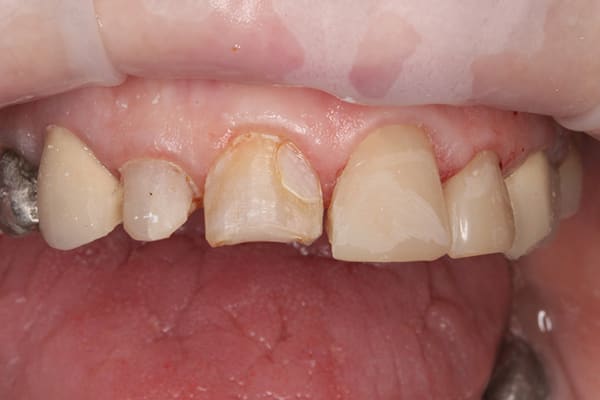
A 55-year-old woman presented with caries, enamel fractures, discoloration, and slight misalignment of anterior teeth wanting to improve her smile. She had heavily restored dentition with stable posterior occlusion and bilateral group function. Due to high caries risk and a limited budget, direct resin veneers rather than indirect restorations were performed to restore dental health, function, and esthetics. A smile design was created for the patient's maxillary anterior incisors using exocad software. A wax-up model was printed with Rodin® Model resin (Pac-Dent, pac-dent.com), and a clear retainer was created from the printed model. Incisions were made in the retainer to insert iMatrix™ Clear mylar bands (Pac-Dent). The patient was anesthetized. Caries was removed, contacts broken, and enamel lightly prepared. After etching with PacEtch™ Pro 38% phosphoric acid (Pac-Dent), all teeth were bonded using Rodin® Bond dental adhesive (Pac-Dent). To maximize adhesive strength and minimize hypersensitivity, SensiGuard™ HEMA-based desensitizer (Pac-Dent) was used as a primer. The Clear retainer was placed and the teeth were separated using the clear mylar bands. Rodin® OptiFlow™ II flowable composite (Pac-Dent) was injected into the retainer. Initial adjustments were accomplished with a carbide finishing bur and #15 blade. The iMatrix Clear composite polishing kit was used for the final polishing.
KEY TAKEAWAYS
Digital design technologies greatly improve the clinician's ability to rapidly prototype digital restorations.
Custom-made injection molds can be greatly enhanced with the innovative use of supplies like clear mylar bands.
To effectively create a direct veneer restoration, the flowable composite, bonding adhesive, and primer need to seamlessly integrate for definitive and esthetically pleasing results. This case used modern techniques in cosmetic and restorative dentistry and state-of-the-art materials to restore a patient's dental health, function, and esthetics while limiting costs.
Joshua Grenier, DMD
Private Practice, Coventry, Rhode Island