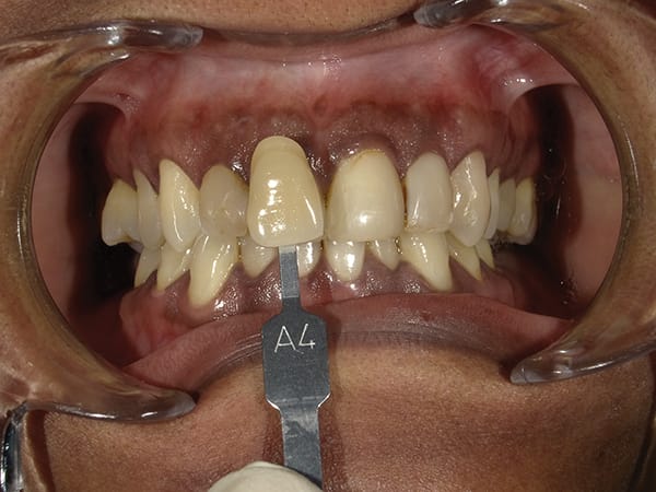
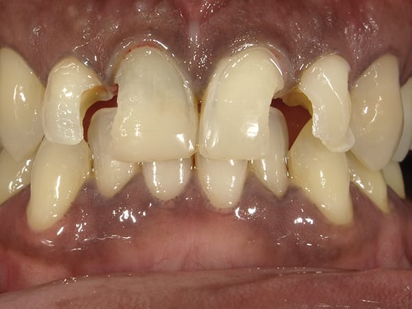
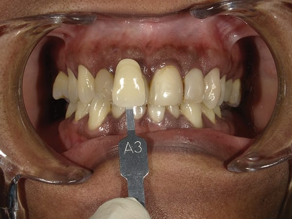
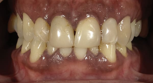
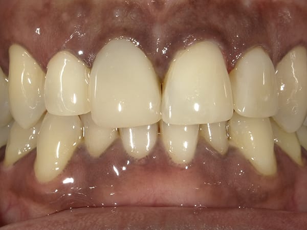
A 43-year-old female patient presented with a chief complaint of being unhappy with staining and cracking around the margins of her maxillary anterior teeth. A major challenge in anterior composite restorations is shade selection and effectively blending a composite so as to create as natural a finish as possible. For these Class 4 restorations, the author chose Beautifil® Flow Plus X (Shofu, shofu.com), using F00 viscosity with low flowability. This material was selected for its high polishability and chameleon effect, which allow for a natural, esthetic finish; its low polymerization shrinkage, which reduces marginal pull and, in turn, marginal white lines; and its high radiopacity and excellent handling properties. The low-flow option allows for easy stacking and incremental placement, as well as proper contouring of the filling material. The author also used Beautifil Opaquer (Shofu), Universal Opaque shade, to help mask the discolored/stained teeth. Crucial to the success of the case was the use of clinical photography with a digital dental camera (EyeSpecial, Shofu), which helped facilitate the process of treatment planning and shade matching. The camera is particularly helpful with regard to its Isolate Shade "gray out" mode. In addition, a shade-matching light device (Rite-Lite PRO™, AdDent, Inc.) was employed to aid the color-matching process under varying lighting conditions.
KEY TAKEAWAYS
Digital clinical photography with the easy-to-use EyeSpecial digital dental camera enhances the process of diagnosis, treatment planning, and patient communication by providing crucial information necessary to produce optimal shade matching.
Beautifil Flow Plus X is a nanohybrid flowable composite containing bioactive Giomer Technology. This proprietary filler particle releases ions that have been clinically proven to inhibit plaque, neutralize acid, and greatly reduce secondary decay.
For direct restoration of anterior teeth, using a composite that provides bioactive properties to protect against recurrent decay and restorative failure helps make these procedures more predictable.
Paiman Lalla, DDS
Private Practice, San Fernando,
Trinidad and Tobago; Diplomate,
American Board of Aesthetic Dentistry