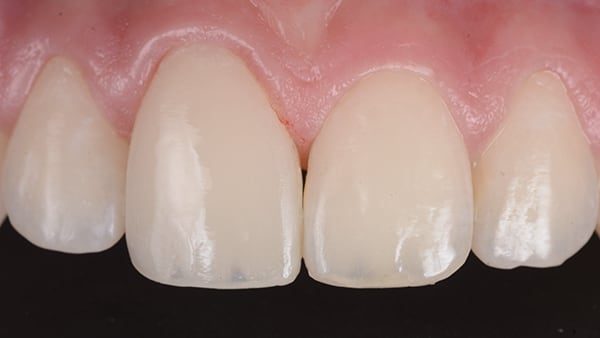
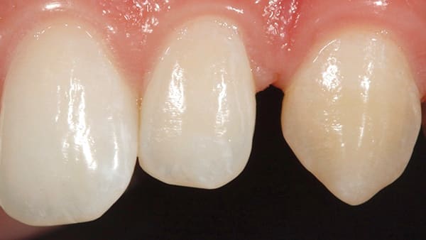
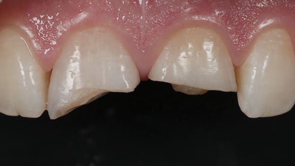
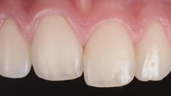
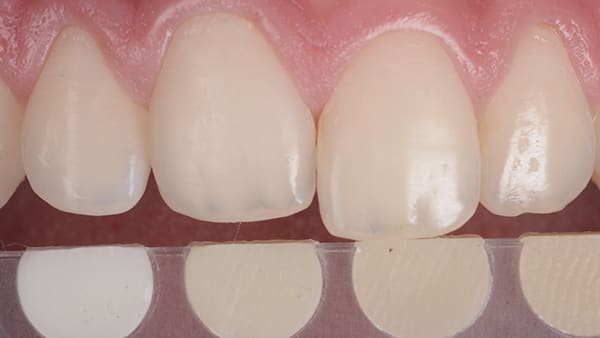
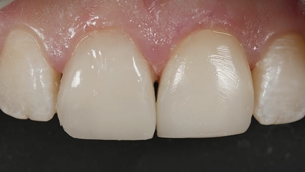
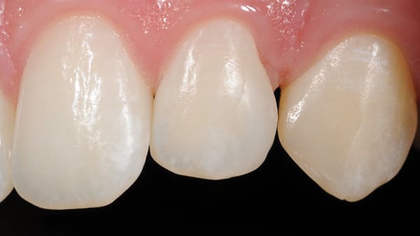
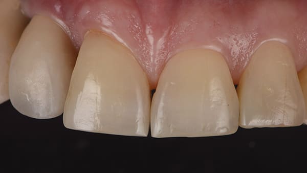
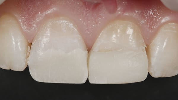
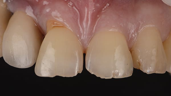
Patient demand for esthetics and conservative dentistry has greatly increased over the past decade. Today, an attractive smile is highly desired by many patients, as it can influence one's self-esteem and psychosocial well-being. Direct layered composite veneers offer an appealing, cost-effective solution for esthetic rehabilitation in the anterior region. Such restorations can be performed in a single session treatment and be modified during the stratification process to meet patients' needs. Additionally, the evolution of composite materials has led to improved mechanical properties and wear resistance. The author uses Venus® composites (Kulzer, kulzerus.com) when performing direct restorations in the anterior region, as shown in the cases presented. Venus PURE is a new universal composite with patented TCD-urethane molecule technology, which provides high strength and durability with low shrinkage stress. Four shades allow for monochromatic layering and fillings with only one shade, even in the anterior, without the need for additional blockers. The composite material provides an ideal balance of translucency, hue, and chroma that reflects light in such a way that the four shades can be used for both monochromatically placed anterior and posterior restorations.
KEY TAKEAWAYS
The Venus PURE portfolio of restorative products offers a variety of solutions in esthetic dentistry to address restorations ranging from simple to complex.
The advanced tricyclodecane-urethane (TCD) matrix, unique to Kulzer composites, enables low shrinkage stress for a reduced risk of marginal gap formation and secondary caries. The high level of cross-linking in the TCD matrix increases the strength and durability of the composites.
Venus PURE Shades are available in Venus® Diamond (firm, low-stick consistency) and Venus® Pearl (creamy, low-stick consistency). With the continued advancement of composite materials, direct composite veneers are a valid, quick, and less expensive solution for esthetic anterior restorations.
Jordi Manauta, DDS
Private Practice, Sestri Levante, Italy; Author of Layers and Layers 2; Active Member, Styleitaliano