Joyce Bassett, DDS
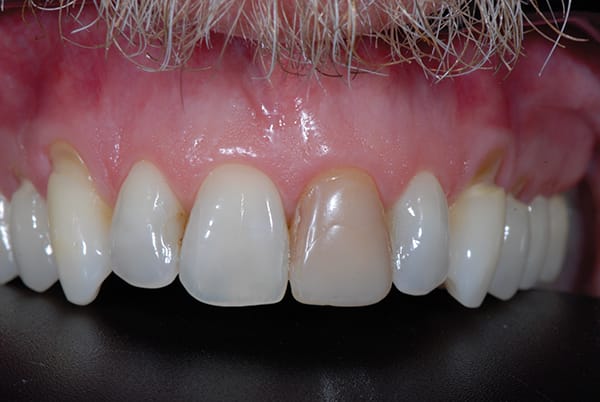
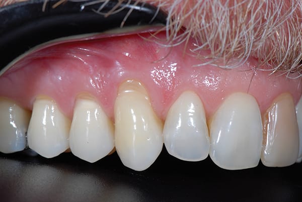
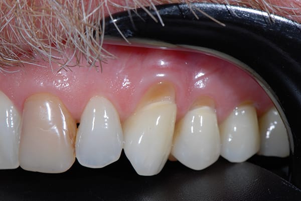
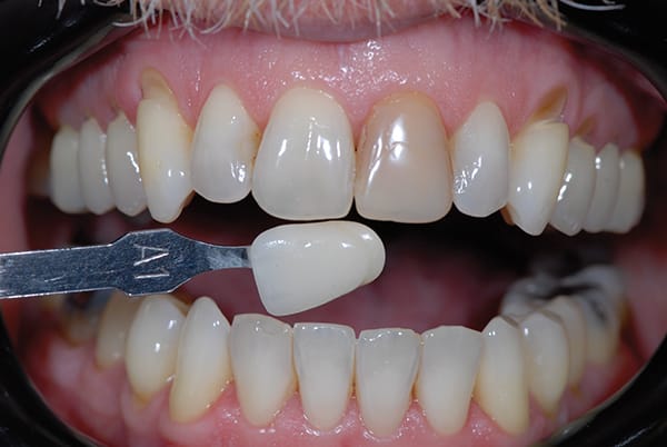
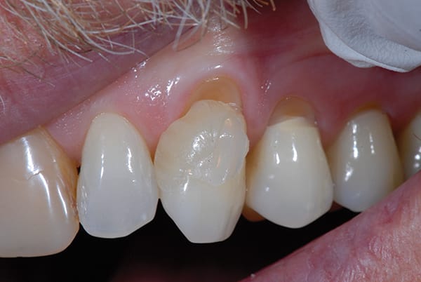
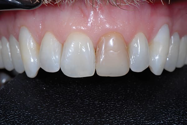
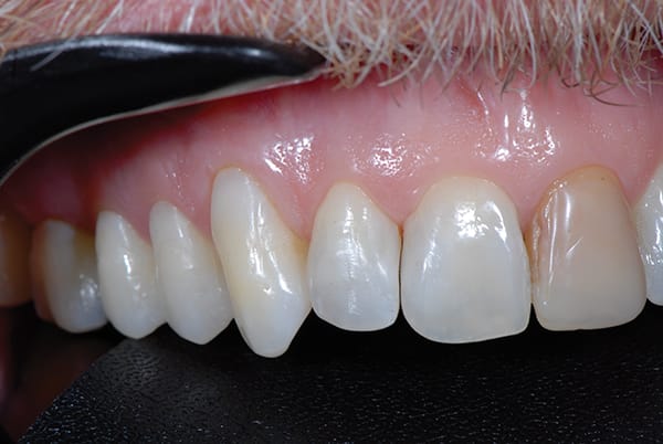
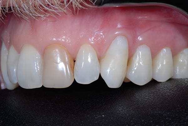
A 59-year-old man presented with cosmetic concerns. He had a history of orthodontics and his chief complaint was the notches and color at the roots of his upper teeth, receding gums, and, lastly, a dark front tooth. He refused gum surgery and was searching for an alternative treatment. He presented with a high smile line on the teeth that would need restoring: his upper cuspids and bicuspids. As with many patients, this patient rejected the ideal treatment plan, which would have included gingival grafting before bonding. Nonetheless, some treatment is often better than no treatment, and, therefore, the patient opted to proceed with a treatment plan of bonding with no grafting, understanding that this plan represented a compromised approach. Informed consent was thus received. The diagnosis was lack of attached gingiva on the upper cuspids and bicuspids, and the "compromise" treatment plan would involve placement of composite resin (Beautifil II Enamel, Shofu, shofu.com) in these gingival margin areas. The clinician used two shades, HVT (high-value translucent) and LVT (low-value translucent), and in some areas blended the two shades. This technique achieved natural-looking shade reproduction and provided the patient the esthetic outcome he desired at this time, which was a lighter root structure. The patient said he would return at another time to address the left central incisor with a new crown.
Key Takeaways
In cases where patients do not wish for grafting surgery, enamel composite may be a viable option for direct esthetic restorations.
Shofu's Beautifil II Enamel, a bioactive, nanohybrid composite, is available in naturally translucent and opalescent shades that facilitate life-like shade reproduction to meet clinical needs. It features exceptional handling characteristics with a smooth consistency, long working time for easy sculpting of fine surface details, high abrasion/wear resistance, and excellent polishability and sustained polish retention.
Beautifil II Enamel's proprietary Bioactive Giomer Technology provides clinically proven therapeutic properties of acid neutralization and bacterial reduction, greatly reducing secondary decay, and may improve tissue response and periodontal health on Class V restorations.
	
	About the Author
	Joyce Bassett, DDS 
	Private Practice, Scottsdale, Arizona; Fellow, American Academy of Cosmetic Dentistry and Academy of General Dentistry
 
     
                                                             
     
                                                             
     
                                                             
     
                                                             
     
                                                             
     
                                                             
     
                                                             
     
                                                             
     
                                                             
     
                                                             
     
                                                            