Case Report Implantology Restorative Seamless Transition From a Removable to a LOCATOR FIXED® Zirconia Solution for the Maxilla David A. Little, DDS July 14, 2023 2 min read
Case Report Endodontics Single-Visit, Minimal Instrumentation Retreatment of Molar Endodontics Using Advanced Technology Roberto E. DiVito, DDS July 14, 2023 2 min read
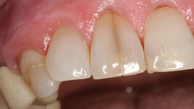
Case Report Restorative Gingival Margin Direct Restorations With Bioactive Enamel Composite Joyce Bassett, DDS July 14, 2023 2 min read
Case Report Orthodontics A Clear Aligner Case Treated Without Attachments R. Bruce McFarlane, DMD July 14, 2023 2 min read
Case Report Restorative Digital Workflow, State-of-the-Art Materials Used in Esthetic and Functional Rehabilitation Talmadge D. Wilkins IV, DMD July 14, 2023 2 min read
Case Report Oral Surgery Ameloblastoma: Digital Workflow Key to Restoring Hemimaxillectomy Patient Katya Archambault, DMD July 14, 2023 3 min read
Case Report Orthodontics Clear Aligners Achieve Moderate to Severe Anterior Cross-Bite Correction With No Refinement Serena Ta, DDS July 14, 2023 2 min read
Case Report Orthodontics Clear Aligner Therapy Facilitates Desired Smile Improvement Maria Jackson, DDS July 14, 2023 2 min read
Case Report Restorative Laser Light-Curing Unit Key Element in Deep Composite Restoration Alireza Sadr, DDS, PhD July 14, 2023 3 min read
Case Report Restorative The Art of Saving Teeth: Restoring a Central Incisor With a New Post and Crown Andrés López, DDS July 14, 2023 2 min read
Case Report Restorative A Digital Path for Creating Accurate Immediate Dentures Lori Trost, DMD July 14, 2023 2 min read