Paiman Lalla, DDS
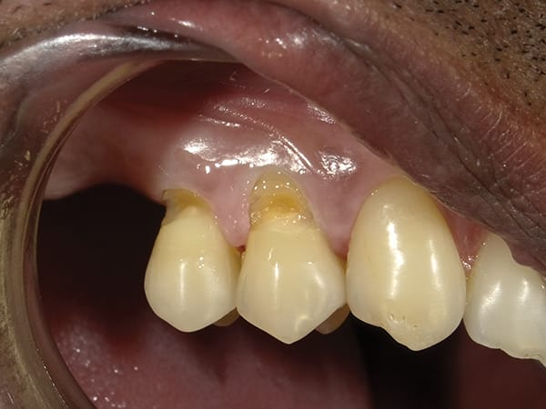
A 53-year-old male patient who had previously received Class V restorations on teeth Nos. 4 and 5 presented to the author's practice complaining of mild cold sensitivity associated with tooth No. 4 and severe cold sensitivity associated with tooth No. 5. To facilitate the process of treatment planning and shade matching, clinical photography was performed with a digital dental camera (EyeSpecial, Shofu, shofu.com). Examination revealed damage to the restorations in the buccogingival region of both teeth. After a discussion of possible treatment options, the patient chose to have the existing composite restorations replaced. After preparation, a universal bonding agent (BeautiBond®, Shofu) was applied, which delivers equal bond strength to enamel and dentin with an extremely low film thickness of 5 μm. A flowable nanohybrid composite (Beautifil Flow Plus® X F00 [A4], Shofu) was then placed into the bonded preparations in layers no thicker than 2 mm, each of which was light-cured. Once the tooth structure was restored, a blend of gingival shade universal composite (Beautifil® II Gingiva [G-V, G-DP], Shofu) was added to tooth No. 5 to improve gingival symmetry. The gingival composite used is available in five shades that can be blended and layered to produce custom shades. The shade achieved in the final result closely matched the patient's natural gingival color tone.
Key Takeaways
Beautifil II Gingiva comes in five unique blendable shades to create custom gingiva shades for any ethnicity. Ideal for cervical areas, this nanohybrid universal composite improves gingival symmetry, repairs recession, and disguises exposed crown-and-bridge margins and implant abutments. Beautifil II Gingiva contains Shofu's bioactive Giomer Technology, which has been clinically proven to give long-term therapeutic benefits, such as antibacterial and acid-neutralizing effects and reducing secondary decay.
Beautifil Flow Plus X nanohybrid composite with bioactive Giomer Technology offers superior strength and esthetics. The self-leveling and precision stackability of F00 (zero flow) makes Class V restorations fast and easy.
Digital clinical photography taken with the EyeSpecial digital dental camera allows any user to take a perfect picture every time. It improves the process of diagnosis, patient communication, and treatment planning by providing all of the information necessary, producing the most esthetic outcome for patients.
About the Author
Paiman Lalla, DDS
Master, International Congress of Oral Implantologists; Private Practice, San Fernando, Trinidad and Tobago