Michael D. Scherer, DMD, MS
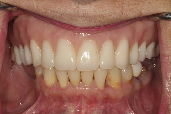
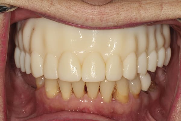
A 72-year-old woman presented with pre-existing dental implants in the approximate positions of Nos. 3, 5, 8, 11, and 14. Because of the patient's age and history of osteoporosis, the surgeon who performed the implant placement had had difficulty locating adequate bone to support the implants. Although the implants were osseointegrated with no clinical signs of mobility, a moderate amount of bone loss around each one was evident. The patient was initially treatment-planned for a crown-and-bridge FP3-style fixed restoration. However, after extensive discussion regarding her concerns, which included a desire for a more esthetically pleasing smile, she opted for a removable RP4-style LOCATOR® bar overdenture restoration (Zest Dental Solutions, zestdent.com), which she would be able to clean and maintain regularly and independently. A vinyl polysiloxane (VPS) impression was made of the implants and a prototype restoration designed. With the prototype used as a guide, a bar framework with four LOCATOR abutments was fabricated. Denture teeth were applied to the framework suprastructure, and the fit of the bar and the tooth arrangement were evaluated intraorally. Upon patient approval, the restoration was finalized and processed using conventional methods. The patient returned for prosthesis placement, and the LOCATOR bar was placed onto the implants. The prosthesis was then placed onto the bar ensuring its stability, and esthetics, phonetics, and occlusion were confirmed.
Key Takeaways
For cases that call for a bar attachment, the LOCATOR bar attachment provides superb retention, long-lasting durability, and a low profile design.
The implant-supported bar attachment system features a self-aligning denture cap for easy and accurate overdenture seating.
The RP4-style LOCATOR bar overdenture restoration used in this case provided the patient the esthetics she desired while giving her the ability to remove, clean, and maintain the prosthesis.
About the Author
	Michael D. Scherer, DMD, MS
	Assistant Clinical Professor, School of Dentistry, Loma Linda University, Loma Linda, California; Chief Clinical Officer, Zest Dental Solutions; Fellow, American College of Prosthodontists; Private Practice, Sonora, California
 
     
                                                             
     
                                                             
     
                                                             
     
                                                             
     
                                                             
     
                                                             
     
                                                             
     
                                                             
     
                                                             
     
                                                             
     
                                                             
     
                                                            