Julián Conejo, DDS, MSc
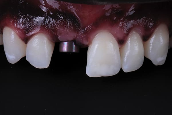
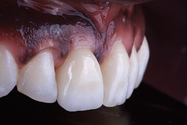
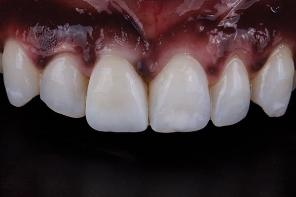
A 35-year-old woman presented for restoration of a recently placed bone-level implant (BLT 4.1 mm RC, Straumann, straumann.com) in site No. 8. After clinical and radiographical evaluation, a digital impression was made (CEREC® Omnicam, Dentsply Sirona, dentsplysirona.com), and a PMMA screw-retained provisional was designed and milled to correct the soft-tissue position and create an ideal emergence profile. The Ti-base (RC Variobase® C, Straumann) was air-particle abraded with 50-µm aluminum-oxide particles at a pressure of 2.0 bars and fixated to the provisional with a self-curing acrylic resin. After 4 weeks, with the soft-tissue architecture around the implant now corrected, a new scan of the emergence profile was made. The scan file was sent to the laboratory for elaboration of the final monolithic restoration with a translucent zirconia material (KATANA™ Zirconia STML, Kuraray, kuraraydental.com). A stain and glaze technique was used, as this zirconia material is multi-layered, providing intrinsic color degradation, desirable when restoring single central incisors. After try-in, the restoration was cemented extraorally to a new ti-base with an adhesive resin cement system (Panavia™ V5, Kuraray) following the APC concept. After removal of excess cement and final polishing (Dialite® ZR Extra-Oral, Brasseler USA, brasselerusadental.com), the screw-retained crown was delivered and torqued per manufacturer's recommendations. The screw-access hole was covered with gutta-percha and a composite resin.
Key Takeaways
Important factors for successful, natural-looking restoration of a single maxillary central incisor include soft-tissue architecture, restorative space, restoration contours, texture, color, and translucency.
The APC zirconia-bonding concept, aimed at achieving durable, long-term bond strengths to high-strength ceramics, includes three practical steps: (A) air-particle abrasion, (P) zirconia primer, and (C) adhesive composite resin.
The combination of digital technologies for better data acquisition with updated concepts on soft-tissue management and multilayered zirconia materials facilitates the challenge of restoring a single central incisor in implant dentistry.
About the Author
Julián Conejo, DDS, MSc
Assistant Professor, Clinical Restorative Dentistry, and Director, Chairside CAD/CAM Dentistry, Department of Preventive and Restorative Sciences, University of Pennsylvania School of Dental Medicine, Philadelphia, Pennsylvania