Jennifer Bell, DDS
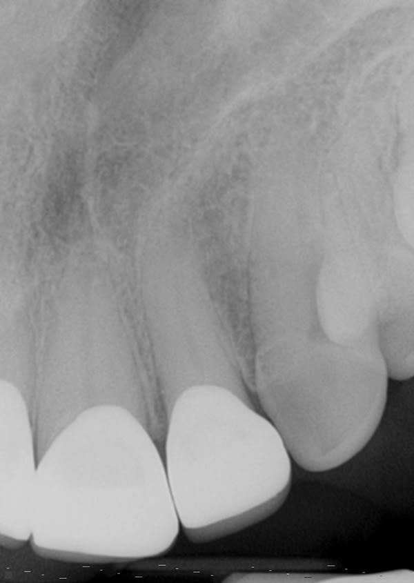
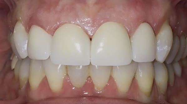
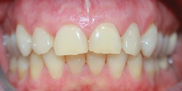
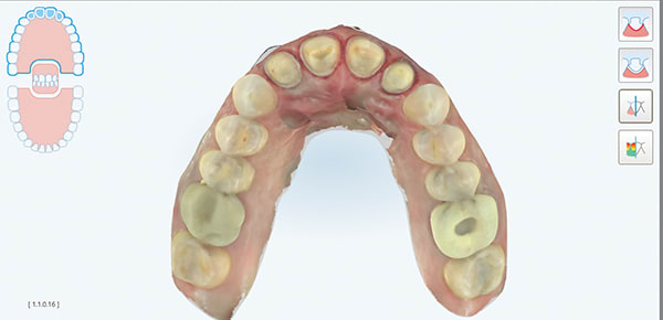
A female patient aged 57 years presented with altered passive eruption of the maxillary anterior teeth, which was diagnosed as a secondary condition to tooth erosion resulting from long-standing gastroesophageal reflux disease (GERD). Clear aligner therapy was initiated to level and align the occlusion and intrude the maxillary anterior teeth back to their original gingival position. After 18 months of poor patient compliance, improvement in tooth position was minimal and the amount of clinical overjet that was desired was not achieved. This limited the restorative armamentarium, and a decision was made to proceed with monolithic zirconia-oxide restorations. Following teeth preparation and tissue retraction, the case was impressed using an intraoral scanner (iTero® Element 2, Align Technology, Inc., itero.com). The final restorations were made of zirconium dioxide with a feldspar veneering ceramic shade 1M1 as the pressed layer on porcelain on the facials. The outcome of the case met the patient's primary concerns, achieving the lengthening and lightening of the anterior teeth that she desired. Because of the patient's continued challenges with GERD, however, she reported having difficulty with compliance related to the clear aligner therapy and whitening protocols, precluding a more ideal result. Nonetheless, the patient was pleased with her new smile and the clinician, given the challenging circumstances, was satisfied with the clinical results of the final restorations.
Key Takeaways
A key component of the zirconia-based treatment for this case was the use of an intraoral scanner for digital impressions, which allowed for clear marginal visualization, time efficiency, and a simplified impression process.
When patients present with erosive tooth wear, which may be caused by common conditions such as GERD, the erosion process must be properly identified and diagnosed before proceeding with a smile design change.
Digital impressions are an effective, predictable alternative to conventional impression techniques and may be considered as the first option for impression-taking.
About the Author
Jennifer Bell, DDS Private Practice, Holly Springs, North Carolina; Fellow, Academy of General Dentistry