Kevin Brown, DDS
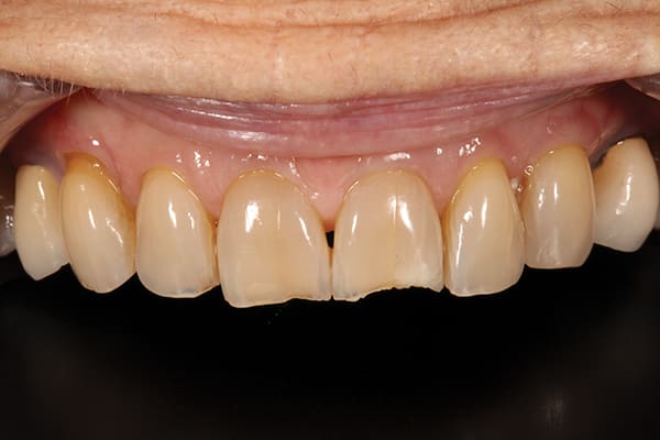
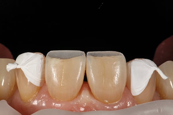
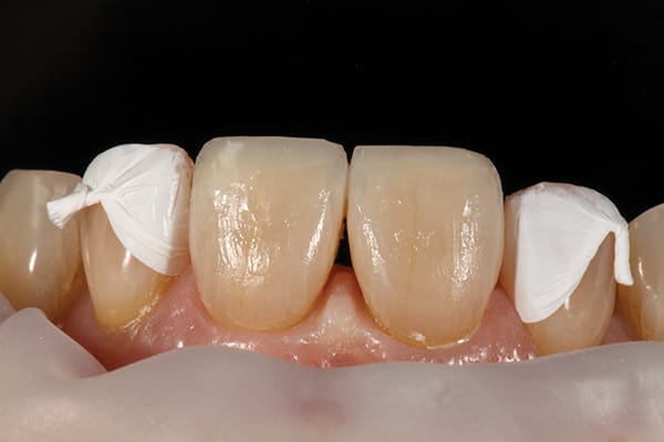
Patients often present with a chipped or broken anterior tooth/teeth and want it fixed immediately and expect the esthetic outcome to be excellent. Using a traditional polychromatic composite layering technique can be highly effective in providing esthetic restorations for such cases. However, clinicians may not always have a broad spectrum of composite shades in stock for such situations, making the procedure challenging. The technique described in this case presentation follows the same principles and approach that are involved in polychromatic layering, but uses a single-shade composite system. The patient had a dark tooth shade of A4+. Fractured teeth Nos. 8 and 9 were minimally prepared with a 45-degree infinity bevel and air abrasion. A silicone putty index was fabricated and used to establish a palatal shell, which would act as a framework upon which subsequent layers would be added. Using OMNICHROMA one-shade universal composite (Tokuyama Dental, tokuyama-us.com) and OMNICHROMA BLOCKER along with a few colored resins, the clinician was able to achieve excellent shade-matching and esthetic results, rivaling even the best polychromatic layering approach. These teeth were quite dark, but the single-shade composite system enabled optimal results, and is capable of attaining similar outcomes on teeth ranging from shade B1+ to all other shades.
Key Takeaways
OMNICHROMA single-shade composite system can be used with a layered approach in the anterior segment to achieve similar esthetic results to polychromatic layering while simplifying technique and material inventory.
Use of a single-shade composite system on anterior restorations allows for color matching over a broad range of shades. Additionally, as the patient's tooth shade changes over time, the restoration will continue to match.
Tooth preparation is key to achieving a seamless margin. When restoring incisal length greater than 1 mm on an anterior tooth with single-shade composite, the supplemental OMNICHROMA BLOCKER is indicated to help mask the hard incisal edge of the natural tooth.
About the Author
Kevin Brown, DDS
Accreditation, American Academy of Cosmetic Dentistry; Private Practice, Bellevue, Washington