Business of Dentistry Leveraging App Technologies to Boost Patient Engagement By Chuck Le, DDS March 01, 2022 9 min read
Research General Dentistry Association Between Preventive Dental Care and Healthcare Cost for Enrollees With Diabetes or Coronary Artery Disease: 5-Year Experience By Edward A. Murphy, MBA, James M. Naessens, ScD, Ruchita Dholakia, MS, Solomon G. Brotman, DDS, Stephanie Dvoroznak March 01, 2022 19 min read
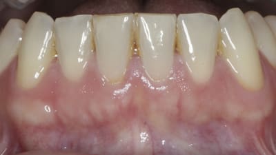
Research Orthodontics The Impact of Orthodontic Retainers on Gingival Recession: A Best-Evidence Review By John Paul Mussleman, Jr., Nada M. Souccar, DDS, Nicolaas C. Geurs, DDS, Ramzi V. Abou-Arraj, DDS, Rawan Oueis, DDS March 01, 2022 17 min read
Research Pediatric Dentistry Efficacy of Preformed Sleep and Habit Appliances to Modify Symptoms of Sleep-Disordered Breathing and Oral Habits in Children With Focus on Resolution of Mouth Breathing By Brooke Stevens-Green, BS, Earl O. Bergersen, DDS, MSD, DDS, MSD, Elizabeth Rosellini, DDS March 01, 2022 45 min read
The Voice Periodontics Periodontal Classification Revisited: The Classification System in the Test of Time March 01, 2022 12 min read
Clinical Technique Review Implantology A Digitally Programmed Technique to Simplify Sequential Extraction Implant Treatment By Allon Waltuch, DDS, Lauren Lehrfield, BSc, Michael Klein, DDS March 01, 2022 16 min read
Case Reports Oral Surgery Implantology Ridge Augmentation in a Site of a Previous Implant Failure Using Tenting Screws With Allograft and Collagen Membrane By Daniela Gurpegui Abud, DDS, Dennis P. Tarnow, DDS, Jaffer A. Shariff, DDS March 01, 2022 15 min read
Special Reports: In-Depth Look Digital Imaging Keys to Predictable Digital Impressions By Dennis J. Fasbinder, DDS March 01, 2022 10 min read
Online Only Prosthodontics Online Only A Blended Prosthesis Design for an Implant-Supported Fixed Complete Denture to Manage Restricted Restorative Space March 01, 2022 12 min read
Special Report Coltene AFFINIS Materials Make Traditional Impression-Taking “Hassle-Free” March 01, 2022 3 min read
Special Report Medit i700 Intraoral Scanner Improves Clinical Workflow Efficiency, Predictability March 01, 2022 3 min read
Special Report Planmeca Emerald™ S Instrumental to Practice’s Growth After Office Expansion March 01, 2022 3 min read
Continuing Education Novel Protocols for the Production of Autologous Blood Concentrates With High Platelet Volume By Gregori M. Kurtzman, DDS, Renato Rossi Jr., DMD March 01, 2022
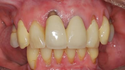
Continuing Education Choosing the Ideal Implant-Supported Prosthesis for an Edentulous Maxilla: Three Key Prosthetic Parameters By Hussein S. Basma, DDS, Maria L. Geisinger, DDS, MS, Nicolaas C. Geurs, DDS March 01, 2022
Products in Practice Prosthodontics Immediate Loading of Full-Arch Prostheses Utilizing Self-Drilling Implants By Acela A. Martinez Luna, DMD, Mahmoud Serag, BDS March 01, 2022 11 min read