Andrew E. Skasko, DDS
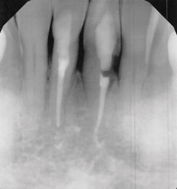
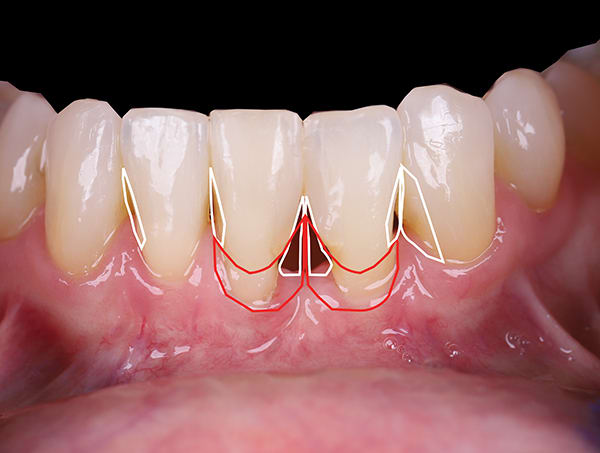
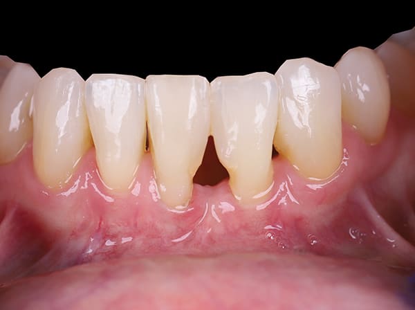
Black triangles in cervical embrasure areas are unesthetic and often cause patients to have difficulty with phonetics and hygiene. A 66-year-old woman presented to the periodontal office of Dr. Jason Stoner with excessive bleeding in the mandibular anterior region. She had a history of trauma to teeth Nos. 24 and 25 years prior, which were endodontically treated at the time of injury. Dr. Stoner's evaluation revealed a large resorptive defect on the distal extent of tooth No. 24. After considering different treatment options, the patient opted for removal of No. 24 and orthodontic therapy to achieve space closure post-extraction. Prior to removal of the tooth, Drs. James Hutta and Jeff Price were added to the treatment team to assist with orthodontics. Dr. Stoner extracted tooth No. 24 without complication, and the orthodontic phase took approximately 18 months. Upon completion of orthodontics a large residual black triangle remained between teeth Nos. 23 and 25. At this time, the patient's previous restorative dentist placed composite bonding, which the patient was not happy with. She then was referred to the author's office for evaluation of the residual Miller Class III defect. Exploiting the many benefits of bioactive Giomer Technology (Shofu, shofu.com), the author developed a treatment plan that would utilize both pink Giomer and white composite to satisfy the treatment objectives.
Key Takeaways
Shofu's Beautifil® II Gingiva with Giomer Technology offers numerous benefits in terms of biology and esthetics in the treatment of Miller Class III and IV defects.
This use of pink Giomer and white composite bonding is a conservative option for the correction of black triangles.
Utilizing an interdisciplinary team helps idealize treatment outcomes when confronted with resorptive lesions.
Pre-treatment digital blueprints assist the patient and treatment team in determining positioning and possibilities.
About the Author
Andrew E. Skasko, DDS
Private Practice, New Albany, Ohio