Mark L. Pitel, DMD
Since their introduction in the early 1970s, glass-ionomer cements (GICs) have been broadly accepted for clinical applications such as crown buildups, cementation, and bases under fillings. However, their acceptance as a direct restorative material has been limited comparatively speaking, especially for permanent posterior teeth. This is due primarily to the perception that GICs are not as esthetic or durable as composite resin materials. Dentists tend to restrict their use of GIC to primary teeth, geriatric applications, and other clinical situations where patients exhibit poor oral hygiene or where a high level of fluoride release is desirable. Surprisingly, clinical studies have shown that while GICs do have a higher initial wear versus composites, they exhibit very similar long-term wear and retention over extended periods.1
In 2009, a new restorative technique was introduced to help address the high initial wear rate of GICs and that offered improved esthetics. The technique combined a fast-setting, high-viscosity type II GIC material (EQUIA® Fil, GC America) and a light-cured, nanofilled resin coating (EQUIA® Coat, GC America) to form a hybrid restoration. The resin coating filled any small surface defects, significantly improving mechanical properties, reducing wear and the likelihood of void and crack formation, and producing a smoother, more plaque-resistant surface than previous GIC restoratives.2
Initially, EQUIA Fil restorations were recommended for Class I, Class II, and Class V restorations but were restricted to non-stress-bearing applications. Used clinically in these situations, the materials and technique produced esthetically pleasing and durable direct esthetic restorations.3,4 Some studies even reported 5-year survival rates for Class I EQUIA restorations close to 100%.5 While Class II survival rates were lower, they were still favorable overall.
Class I EQUIA Restoration
Figure 1 through Figure 8 document a typical Class I EQUIA restoration in tooth No. 30, starting from its initial placement more than 10 years ago in 2009. Using Modified United States Public Health Service (USPHS) criteria for clinical evaluation,6 the 10-year recall of the EQUIA restoration (Figure 8) would be rated "Alpha" in all categories except surface roughness and luster (ie, Alpha = explorer does not catch or has one-way catch when drawn across the restoration/tooth interface; general contour of the restorations follows the contour of the tooth; there is no discoloration between restoration and tooth; contacts are normal; there is no clinical diagnosis of caries).
It is also noteworthy that this case received the light-cured resin coating only once at initial placement. According to the manufacturer, the coating is expected to last from 6 months to 1 year and may be reapplied at any point the clinician feels it would be helpful. Reapplication in this case could likely restore the 10-year-old glass-hybrid restoration to "Alpha" in all USPHS evaluation criteria.
Second Generation
Based on the early clinical success of EQUIA, a second generation of both the glass restorative and resin coating were developed with an even higher flexural strength, greater fluoride release, and improved resistance to wear and acid. Introduced in 2014 EQUIA Forte® Fil and EQUIA Forte® Coat are indicated for unrestricted use in Class V cavities and stress-bearing Class I and Class II posterior restorations. Like all glass restoratives, EQUIA Forte has an unlimited depth of cure, allowing it to be used with a true bulk-fill technique. As such, EQUIA Forte restorations offer an esthetic, high-strength alternative to amalgam, composites, and compomers. Like the earlier version of EQUIA, EQUIA Forte also has shown excellent clinical outcomes.7
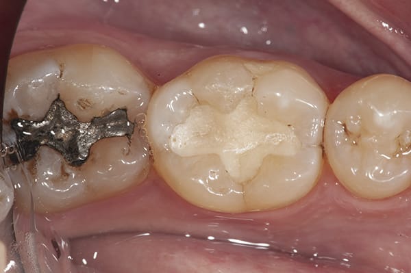
Class II EQUIA Forte Restoration
Figure 9 through Figure 16 document a stress-bearing Class II mesial-occlusal-distal (MOD) EQUIA Forte restoration on tooth No. 4 placed initially in 2015, and followed for approximately 5 years. Figure 16 shows the 5-year recall of the EQUIA Forte restoration. As evaluated according to USPHS criteria, this restoration would be rated "Alpha" for all categories except surface luster.
While the EQUIA Forte restoration is esthetically acceptable, it appears slightly more opaque than the original EQUIA and comparable composite resin fillings. Because of this, a third generation of EQUIA, which possesses higher levels of translucency and even higher physical properties, was released in 2019. EQUIA Forte® HT is expected to perform even better clinically than earlier generations while yielding superior esthetics.
A Favorable Solution
The COVID-19 pandemic has generated concerns about the risk of infection through aerosols generated in dental procedures. Self-adhesive materials, such as EQUIA Forte HT, can be used in minimally invasive procedures, reducing the risk of aerosol generation.8 The pandemic has also resulted in increased reports of stress-related disorders such as bruxism. The improved mechanical properties of these new materials can prove to be helpful in these situations.7,9
In conclusion, the long-term clinical results of the EQUIA series of materials have shown that direct glass restoratives compare favorably to composite resins in many situations, including the stress-bearing areas of adult posterior teeth.
About the Author
Mark L. Pitel, DMD
Associate Clinical Professor of Operative Dentistry and Director of Predoctoral and CDE Esthetic Studies, Columbia University College of Dental Medicine, New York, New York; Private Practice, Poughkeepsie, New York
References
1. van Duinen RN, Kleverlaan CJ, de Gee AJ, et al. Early and long-term wear of ‘fast-set' conventional glass-ionomer cements. Dent Mater. 2005;
21(8):716-720.
2. Diem VTK, Tyas MJ, Ngo HC, et al. The effect of a nano-filled resin coating on the 3-year clinical performance of a conventional high-viscosity glass-ionomer cement. Clin Oral Investig. 2014;18(3):753-759.
3. Friedl K, Hiller KA, Friedl KH. Clinical performance of a new glass ionomer based restoration system: a retrospective cohort study. Dent Mater. 2011;27(10):1031-1037.
4. Heck K, Frasheri I, Diegritz C, et al. Six-year results of a randomized controlled clinical trial of two glass ionomer cements in class II cavities. J Dent. 2020;97:103333.
5. Gurgan S, Kutuk ZB, Ergin E, et al. Clinical performance of a glass ionomer restorative system: a 6-year evaluation. Clin Oral Investig. 2017;21(7):2335-2343.
6. Cvar JF, Ryge G. Criteria for the Clinical Evaluation of Dental Restorative Materials. San Francisco, CA: Government Printing Office; US Public Health Service Publication No. 790-244; 1971.
7. Miletić I, Baraba A, Basso M, at al. Clinical performance of a glass-hybrid system compared with a resin composite in the posterior region: results of a 2-year multicenter study. J Adhes Dent. 2020;22(3):235-247.
8. Eden E, Frencken J, Gao S, et al. Managing dental caries against the backdrop of COVID-19: approaches to reduce aerosol generation. Br Dent J. 2020;229(7):411-416.
9. Koc Vural U, Meral E, Ergin E, Gürgan S. Twenty-four-month clinical performance of a glass hybrid restorative in non-carious cervical lesions of patients with bruxism: a split-mouth, randomized clinical trial. Clin Oral Investig. 2020;24(3):1229-1238.