Lance Kisby, DMD
Glass-ionomer cements (GICs) are self-adhesive bulk-fill dental restorative materials. As reported in 1971 by Wilson and Kent,1 GICs failed to gain acceptance due to poor wear resistance and an inability to perform well on posterior teeth.2
In 2014, GC Corporation introduced EQUIA Forte®, the first glass-hybrid technology indicated for stress-bearing Class II restorations. In 2019, the company introduced the high-viscosity GIC EQUIA Forte® HT Fil, which featured improved translucency and was indicated for stress-bearing and non-stress-bearing Class I and Class II restorations as well as Class V restorations. The following cases demonstrate the advantages of EQUIA Forte® HT compared to EQUIA Forte.
Case 1: EQUIA Forte in a Primary Canine
A 6-year-old patient with poor cooperation presented with facial caries on tooth No. H (Figure 1). After the caries was removed, a bond surface conditioner (Cavity Conditioner, GC America Inc) was applied to the area for 10 seconds, rinsed for 10 seconds, and then dried but not desiccated. EQUIA Forte was placed, allowed to set, and EQUIA Forte® Coat was then applied and light-cured (Figure 2).
After 1 year (Figure 3), the restoration had held up well, but the color did not match.
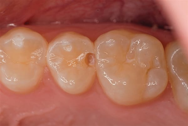
Case 2: EQUIA Forte HT Fil on Tooth No. J
Caries was present on the distal pit of tooth No. J (Figure 4). Because an adhesive is not needed when using EQUIA Forte HT Fil, dental visits for pediatric patients can be shorter. Additionally, the material's ability to release fluoride into enamel and dentin is beneficial for all pediatric patients but especially for those at risk for dental caries.
A conservative preparation was done (Figure 5). The EQUIA Forte HT Fil capsule was mixed for 10 seconds, and the material was syringed into the preparation within 10 seconds, condensed, and contoured. After 2 minutes and 30 seconds of mixing, EQUIA Forte Coat was applied and light-cured (Figure 6); as can be seen, the material matched the tooth color well.
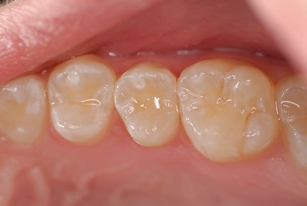
Case 3: EQUIA Forte HT on Tooth No. 4 DO
EQUIA Forte HT is also an appropriate restorative material for permanent teeth. In this case, tooth No. 4 was treated with a distal-occlusal (DO) slot preparation (Figure 7). EQUIA Forte HT Fil was mixed, placed, and contoured, and EQUIA Forte Coat was applied and light-cured (Figure 8). The excellent color match and the material's ability to take on the color of the tooth structure around it was evident.
Discussion
EQUIA Forte HT Fil is a stronger restorative material for primary and permanent teeth with a better color match than its predecessor.3 EQUIA Forte Coat makes the surface smooth, increases wear resistance, and creates a harder GIC from secondary maturation within 24 hours.4
Basso et al exhibited that at 7 years, Class I EQUIA restorations showed no failures and Class II restorations were 70% successful.5 In a 4-year study comparing EQUIA and resin composites, Gurgan et al reported that EQUIA had one failure at years 3 and 4 and none at year 5.6 Also, Gurgan et al showed at 10 years a cumulative failure rate of only 3.17% for both Class I and Class II restorations. There was no significant change in anatomical form, secondary caries, postoperative sensitivity, surface texture, or retention. 7
EQUIA Forte HT Fil offers increased strength and better esthetics than EQUIA for primary and permanent teeth. This demonstrates that a glass-hybrid GIC is a viable long-term restorative material.
About the Author
Lance Kisby, DMD, FASDC, FAAPD, MAGD
Pediatric Dentist, Peter Christensen Dental Clinic, Lac Du Flambeau, Wisconsin; Board Certified in Pediatric Dentistry
References
1. Wilson AD, Kent BE. The glass-ionomer cement: a new translucent dental filling material. J Appl Chem Biotechnol. 1971;21(11):313.
2. Croll TP, Nicholson JW. Glass ionomer cements in pediatric dentistry: review of the literature. Pediatr Dent. 2002;24(5):423-429.
3. Pascotto R, et al.Stabilization time of chemical bonds in restorative glass-ionomer/glass-hybrid cements. J Dent Res. 2020;99(spec iss A):1051.
4. Handoko MW, Tjandrawinata R, Octarina. The effect of nanofilled resin coating on the hardness of glass ionomer cement. Sci Dent J. 2020;4(3):97-100.
5. Basso M, Goñe Benites JM, Ionescu AC, Tassera C. 7 years, multicentre, clinical evaluation on 154 permanent restorations made with a glass ionomer-based restorative system. J Dent Res. 2016;95(spec iss B):0446.
6. Gurgan S, Kutuk ZB, Ergin E, et al. Four-year randomized clinical trial to evaluate the clinical performance of a glass ionomer restorative system. Oper Dent. 2015;40(2):134-143.
7. Gurgan S, Kutuk ZB, Yalcin Cakir F, Ergin E. A randomized controlled 10 years follow up of a glass ionomer restorative material in class I and class II cavities. J Dent. 2020;94:103175.