Continuing Education Oral Surgery Periodontics Orthodontics Factors Affecting Predictability of Buccal Bone Augmentation in Surgically Facilitated Orthodontic Treatment: Surgical Considerations By Brock J. Pumphrey, DMD, Colin S. Richman, DMD, J. Kobi Stern, DDSDMD, Stuart Beauchamp, DMD, William Baldock, DMD September 01, 2020
Continuing Education General Dentistry Infection Control Evidence, Junk Science, and Hope in a Time of Pandemic: On the Front Lines in Dentistry By Marjorie Jeffcoat, DMD, Thomas Sollecito, DMD September 01, 2020
Business of Dentistry Business of Dentistry Upgrading Your Practice Facility: Renovate or Relocate? By Michael Unthank, DDS September 01, 2020 5 min read
Roundtable Endodontics Is the Adage “Instruments Shape, Irrigants Clean” Still Relevant in Endodontics Today? By Robert A. Augsburger, MS September 01, 2020 9 min read
The Voice Periodontics Platelet-Rich Fibrin: Choosing the Right Formulation for Optimal Results September 01, 2020 7 min read
Case Reports Periodontics Repair of Lingual Gingival Fenestrations Through the Use of a Subepithelial Connective Tissue Graft By Elena Sanz-Miralles, DDS, Gary Greenstein, DDS, Joshua Shayefar, DMD, Robert N. Eskow, DMD September 01, 2020 11 min read
Special Report Implantology Prosthodontics Periodontics Implant Designs in 2020: Current State of the Art Addresses Primary Stability By Stephen J. Chu, DMD September 01, 2020 9 min read
Online Only Implantology Periodontics Online Only An Algorithmic Approach to Evaluation of an Ailing Implant By Huzefa S. Talib, BDS, Juliana Gomez, DDS, Marco Bergamini, DDS, Robert A. Horowitz, DDS, Thomas G. Wiedemann, MDMD September 01, 2020 27 min read
Online Only Online Only Orthodontics Frictionless Segmented Mechanics for Controlled Space Closure By Fernando Amaral Moreira Guimaraes, DDS, Giordani Santos Silveira, DDS, Ildeu Andrade, Jr. September 01, 2020 13 min read
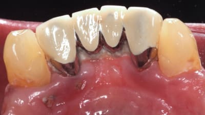
Online Only Online Only Implantology Periodontics Implant Restorations: Establishing a Proper Emergence Profile By Evan S. Krause, DDS, Gregori M. Kurtzman, DDS, Mark Bishara, DDS September 01, 2020 12 min read
Special Reports: In-Depth Look Straumann® BLX Implant Ideal for Immediacy Protocols September 01, 2020 4 min read
Special Reports: In-Depth Look Z-SYSTEMS Ceramic Implants Give Clinicians Flexibility While Maximizing Esthetics September 01, 2020 4 min read