From the Editor Navigating Your Way By Louis F. Rose, DDS, Sonia S. Leziy, DDS July 15, 2019 3 min read
Tribute to D. Walter Cohen, DDS A Tireless Ambassador for Oral Healthcare, a True Friend for All Seasons By Harold C. Slavkin, DDS July 15, 2019 6 min read
Business of Dentistry Business of Dentistry Implantology How to Introduce Dental Implants to Your Patients By Roger P. Levin, DDS July 15, 2019 5 min read
Roundtable Implantology What Dogmas in Implant Therapy Do You Struggle With, Either Surgically or Restoratively? By David French, DDS, Dean E. Kois, DMD, Jeanne M. Salcetti, DDS July 15, 2019 10 min read
Continuing Education Restorative Prosthodontics Implantology Integrating a Full Digital Workflow to Achieve Optimal Surgical and Restorative Outcomes in Implant Dentistry By Sonia S. Leziy, DDS July 15, 2019
Continuing Education Implantology Periodontics Dental Implant Maintenance for the Oral Healthcare Team By Ioannis Tsourounakis, DDS, Penny Hatzimanolakis, Dipl. DH July 15, 2019
Case Reports Implantology Periodontics Replacing Hopeless Maxillary Incisors With Adjacent Implants via an Integrative Biologically Oriented Approach By Mirela Feraru, DMD, Nitzan Bichacho, DMD July 15, 2019 16 min read
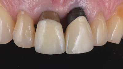
Case Reports Implantology Prosthodontics Periodontics A Paradigm Change in Macro Implant Concept: Inverted Body-Shift Design for Extraction Sockets in the Esthetic Zone By Dennis P. Tarnow, DDS, Guido O. Sarnachiaro, DDS, Jocelyn H.P. Tan-Chu, DDS, Stephen J. Chu, DMD, Valentina Lyssova, DDS July 15, 2019 11 min read
Case Reports Implantology Prosthodontics Periodontics Achieving Optimal Esthetic Outcome With Previously Placed, Compromised Implants By Tal Morr, DMD July 15, 2019 31 min read
Case Reports Implantology Prosthodontics Oral Surgery CAD/CAM Beyond Intraoral Restorations: Maxillofacial Implant Guide By Carlos Bettoni Cruz de Castro, MSc, Elizabeth Rodrigues Alfenas, MSc, Filipe Jaeger, DDS, Nelson RFA Silva, DDS, MSc, Vinicus Machado, DDS July 15, 2019 9 min read
Special Report Implantology Oral Surgery Digital Technologies Paving the Way for Implant Dentistry’s Expansion By Gary Orentlicher, DMD July 15, 2019 7 min read
Special Reports: In-Depth Look Oral Surgeon Integrates Digital Workflow With 3Shape TRIOS and 3Shape Implant Studio July 15, 2019 4 min read
Special Reports: In-Depth Look exocad’s ChairsideCAD and exoplan Work Together to Streamline Implant Case Planning July 15, 2019 3 min read
Special Reports: In-Depth Look 3D Imaging Helps Practitioner Take “Amazing Leap” With Implant Dentistry July 15, 2019 4 min read
Online Only Online Only Versatility of Overpartial Abutments Key to Economical Restoration of Patient’s Smile By Peyman Raissi, DDS July 15, 2019 11 min read
Online Only Online Only Novel Direct Injection Chairside Buffering Technique for Local Anesthetic Use in Dentistry By Jason H. Goodchild, DMD, Mark Donaldson, BSP, ACPR, PharmD July 15, 2019 22 min read