Tribute to D. Walter Cohen, DDS A Beloved Mentor, Friend, and True Icon in Dentistry March 01, 2019 7 min read
Business of Dentistry Business of Dentistry How to Avoid Six Common Customer Service Mistakes in the Dental Practice By Lee Ann Brady, DMD March 01, 2019 7 min read
Roundtable Implantology Oral Surgery Dental implant placement: How do freehand, guided, navigation, and robotic surgeries compare? By David P. Lustbader, DMD, Gary Orentlicher, DMD, Michael S. Block, DMD, Ole T. Jensen, DDS March 01, 2019 12 min read
Continuing Education Orthodontics Pediatric Dentistry Fundamentals of Interceptive Orthodontics: Optimizing Dentofacial Growth and Development By Whitney Mostafiz, DMDDMD March 01, 2019
Continuing Education General Dentistry Pediatric Dentistry Prevention of Dental Caries by Silver Diamine Fluoride By Jeremy A. Horst, DDS, Masahiro Heima, DDS March 01, 2019
Research Implantology Prosthodontics Periodontics Immediate Placement of Dental Implants in Molar Extraction Sockets: An 11-Year Retrospective Analysis By Dennis P. Tarnow, DDS, Guido Sarnachiaro, DDS, Richard B. Smith, DDS March 01, 2019 9 min read
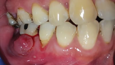
Case Reports Endodontics Periodontics Salvaging a Periodontally Compromised and Endodontically Involved Three- Rooted Mandibular First Molar With Cervical Enamel Projection By J. Sylvia Western, MDS, Srinivas Sulugodu Ramachandra, BDSMDS, Vivek Vijay Gupta, MDS March 01, 2019 14 min read
Case Series Oral Surgery Minimally Invasive Extraction Site Management With Dehydrated Amnion/ Chorion Membrane (dHACM): Open-Socket Grafting By Daniel Cullum, DDS, Mark Lucas, DDS March 01, 2019 11 min read
Special Report Restorative Diagnosing a Failed Impression: Common Errors and How to Overcome Them By Nathaniel C. Lawson, DMD, PhD, Taiseer A. Sulaiman, DDS March 01, 2019 9 min read
Special Reports: In-Depth Look iTero® Element 2 is an Intuitive, Versatile Intraoral Scanner for Improved Patient Treatment March 01, 2019 4 min read
Special Reports: In-Depth Look Increased Tear Strength, Quick Setting Time Key Attributes of New Dynax® Impression Materials March 01, 2019 3 min read
Special Reports: In-Depth Look Use of Planmeca Emerald™ Scanner Saves Time, Impresses Patients, High-Tech Dentist Says March 01, 2019 4 min read
From the Editor Always Clinically Relevant By Louis F. Rose, DDS, Stephen J. Chu, DMD March 01, 2019 3 min read