Steven L. Frost, DDS
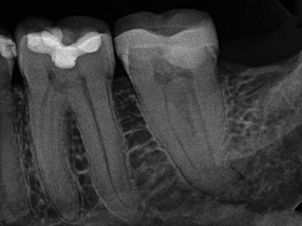
A C-shaped molar root canal can cause even seasoned clinicians to question whether to perform treatment in a one- or two-visit procedure. Tortuous anatomy and unusual root complexities make it difficult to clear all the tissue from the root canal system. Clinicians often opt for sonic or ultrasonic irrigation and a two-visit procedure to assure a positive clinical outcome. In this case, GentleWave® Procedure Multisonic Ultracleaning® technology (Sonendo, sonendo.com) was used to treat irreversible pulpitis in a C-shaped lower second molar, which is often difficult to address. After administration of anesthesia, and with the use of a dental microscope (Leica M320, Leica Microsystems, leica-microsystems.com), conservative straight line access was achieved, and three canals were located, measured, and instrumented. The GentleWave Platform was then built onto the tooth, the Procedure Instrument attached to the GentleWave Console, and the GentleWave Technology finished the procedure. Eight minutes later, the platform was removed, the canals dried, and the canal system filled. Upon completion of the GentleWave Procedure and warm vertical obturation the results were astonishing as evidenced in the final radiograph.
Key Takeaways
Endodontic challenges such as a C-shaped molar root canal can be treated successfully in one visit with minimal instrumentation and the GentleWave Procedure.
Closed-loop Multisonic Ultra-cleaning technology reaches deep into lateral canals and microscopic tubules to remove tissue, debris, biofilm, and bacteria. It also helps preserve the integrity of the tooth by leaving dentin intact.
With advanced fluid management, the self-contained GentleWave System delivers the precise concentration of procedure fluids, resulting in the simultaneous ultracleaning of each canal from crown to apex.
About the Author
Steven L. Frost, DDS
Co-Founder, OnCall Dental
Urgent Care;
Private Practice
Mesa, Arizona