Key Takeaway Points
Silane coupling agents can be used to improve bonding between porcelain restorations and resin cements.
Use of All-Bond Universal offers the convenience of a single-bottle adhesive with no activator required.
The product combination used in this case enabled ease of use and a durable result.
A 72-year-old man presented with an unsalvageable, fractured lateral incisor that required removal. After reviewing options for replacement, including immediate implant placement and restoration, the patient chose to move forward with a conservative winged lithium-disilicate bridge to replace tooth No. 10. The clinician used an assortment of products from Bisco, Inc. (www.bisco.com), including Porcelain Primer containing silane to prime the restoration, Uni-Etch® w/BAC 32% etchant, All-Bond Universal® adhesive, and Duo-Link Universal™ luting cement. This ensured compatibility between adhesive and luting cement while simplifying the restoration process. In addition to peace of mind for both clinician and patient, the result was a strong, long-lasting bond that the patient can depend on for years to come.
1. After root removal of tooth No. 10, non-retentive lingual preparation of teeth Nos. 9 and 11 was completed.
2. A temporary was fabricated and bonded into place.
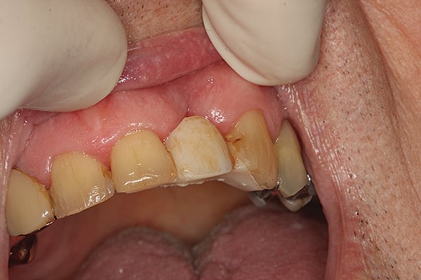
3. After sufficient healing of the extraction site, a final impression was taken and a lithium-disilicate lingual-retained winged restoration was fabricated (as shown). When the restoration was received in the office it was primed with Bisco Porcelain Primer/Silane Primer.
4. After successful try-in and confirmation of marginal integrity, bonding was completed and (as shown) the restoration was cleaned with 32% phosphoric acid-etch with benzalkonium chloride (BAC) (Bisco Uni-Etch w/BAC).
5. Uni-Etch w/BAC was rinsed off the restoration and dried.
6. The restoration was then coated with Bisco All-Bond Universal adhesive, which was blown thin and light-cured for 20 seconds. The restoration was then set aside.
7. Teeth Nos. 9 and 11 were isolated and prepared, and then etched with 32% phosphoric acid-etch with BAC (Uni-Etch w/BAC) for 10 seconds and rinsed.
8. The clean, dried prepared teeth Nos. 9 and 11 were then coated with All-Bond Universal. Two coats of the adhesive were applied, blown thin, and light-cured for 20 seconds.
9. Duo-Link Universal dual-cure luting cement was then placed on prepared surface of the teeth.
10. The winged, lithium-disilicate restoration was then set in place.
11. After the restoration was tack-cured for 3 to 5 seconds and cleaned, it was light-cured for 20 seconds on each tooth, both buccal and lingual surfaces.
12. Final restoration in place immediately after bonding.
(lab work provided by Mac Dental Laboratory & Milling Center, macdentallab.com)