Sarah Roberts, DMD
Member of the American Dental Association, Georgia Dental Association, Hinman Dental Society, International Association of Comprehensive Aesthetics, American Academy of Cosmetic Dentistry, and American Academy of Dental Sleep Medicine; Private Practice, Alpharetta, Georgia
Key Takeaway Points
When patient fin ances are a factor, composite veneers can be a cost-effective restorative alternative to porcelain veneers.
Visalys® Veneer is a minimally invasive system based on a hybrid composite that makes it possible to achieve a highly esthetic result in only one appointment.
The solution used in this case is suitable for numerous indications, including tooth discoloration, anatomical defects, incisal edge extensions, tooth malignment, diastema, caries, tooth fractures, and more.
Often times patients want a high-quality esthetic result, however they are limited in their treatment options because of financial constraints. In this case, a young female patient presented with a chief complaint of disliking the shape, color, and contour of her teeth. The 17-year-old girl cried whenever she came into the dental office, longing for a cosmetic outcome that was not only affordable but that she could be happy with. With these financial concerns in mind, the clinician suggested—and the patient agreed to try—composite veneer restorations rather than porcelain. Visalys® Veneer Composite from Kettenbach (www.kettenbach.us), a system comprising prefabricated, polymerized, radiopaque veneers made of a highly filled hybrid composite, was used with stellar results, as the young patient came away very satisfied with her appearance, and with a long-term plan to eventually convert to porcelain veneers.
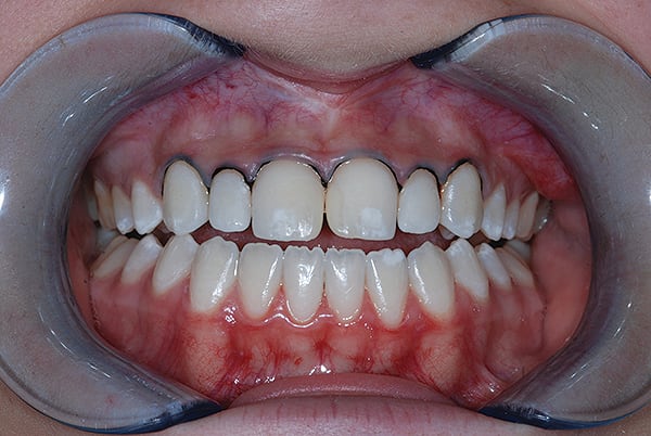
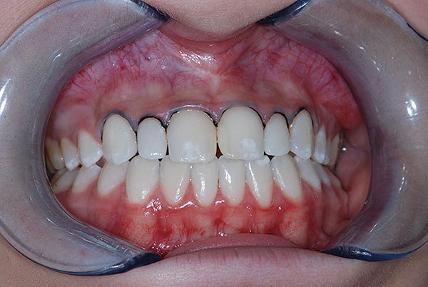
1. Patient disliked the shape, color, and contour of her teeth.
2. White spots were visible on some of her upper teeth, including the central incisors.
3. Visalys Veneer template was tried in to determine the veneer size, and shade BL was selected.
4. After an impression was taken and a model was produced to help with veneer contouring, the patient was numbed and cord was packed.
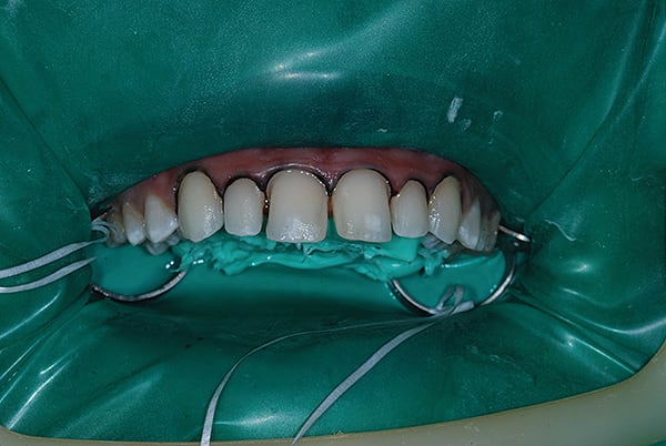
5. Teeth Nos. 5 through 12 were prepared. Contacts were opened and the facial was reduced by about 0.4 mm. Veneers were trimmed, mainly reducing the gingival area to shorten the veneer, starting with the central incisors, then the lateral incisors, the canines, and, finally, the premolars. A veneer bonding agent was applied to the veneer and light-curing was done for 10 seconds per tooth for proper adhesion. Phosphoric acid was applied and then rinsed thoroughly, followed by application and light-curing of enamel bond. Each veneer was roughed inside, rinsed, and dried.
6. A dental dam was placed. Veneers were then ready for placement. Composite BL was applied and smoothed, covering the back of the veneer with a spatula. Flash was removed and the veneers were placed and tacked for temporary placement.
7. After veneers were aligned, the facial, incisal, and lingual aspects were each cured for 20 seconds.
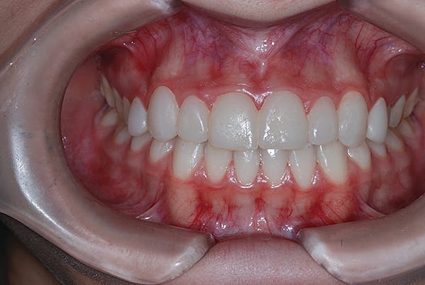
8. Additional trimming and polishing was done for final result.
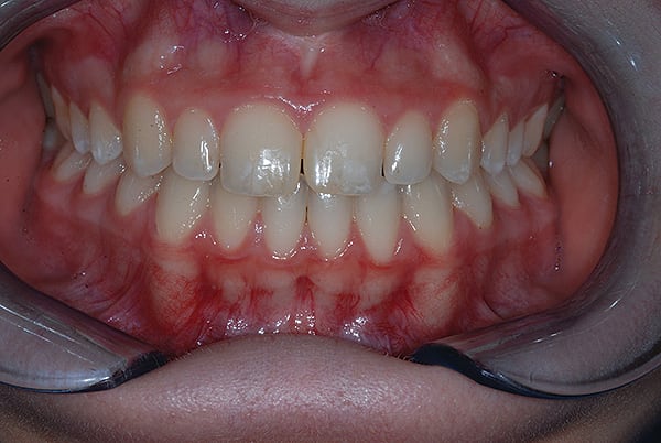
9. After final polishing on the adjusted margins of the veneer, the result was highly pleasing.
10. The patient was extremely happy with her new smile.