Nicholas R. Conte, Jr., DMD, MBA
Director of Clinical Research and Education, DENTSPLY Caulk, Milford, Delaware; Clinical Assistant Professor, Rutgers School of Dental Medicine, Newark, New Jersey; Private Practice, Havertown, PennsylvaniaKey Takeaway Points
Key Takeaway Points
Direct Class II composite placement demands attention to detail and meticulous care in following all procedural steps.
DENTSPLY’s Class II Total Practice Solution comprises six innovative products that are aligned to provide a start-to-finish solution for Class II composite restorations.
Two unique parts of this solution are the Palodent® Plus Sectional Matrix System, which provides excellent isolation and helps create predictable interproximal contacts, and SureFil® SDR® flow, which features low polymerization stress, bulk-fill placement, and self-leveling handling.
Because direct composite resin restorations can be tedious and time-consuming to complete, practitioners need to find a balance between providing clinical excellence and maintaining profitability. This balance, or efficiency, comes with not just working faster but also performing the steps and procedure correctly the first time. When done well, to a patient the new Class II restoration is just another successful visit; however, done poorly, negative outcomes such as open contacts, plaque accumulation, and postoperative sensitivity can result. The two cases presented highlight the DENTSPLY Class II Total Practice Solution (DENTSPLY Caulk, www.class2restorations.com), which utilizes a series of products that clinicians use in a step-wise fashion to reach predictable, positive results, with each product providing tangible benefits. Tested with each other and designed to be used together, these products have been successfully employed by the author to consistently and efficiently produce exceptional-looking Class II restorations.
1. (Case 1) Preoperative view of tooth No. 29. Upon clinical examination, caries on the disto-occlusal was noted; a bitewing radiograph confirmed the need for an interproximal restoration.
2. After successful anesthesia using 4% Articadent® with epinephrine 1:200,000 (DENTSPLY Pharmaceutical), a Palodent® Plus WedgeGuard (DENTSPLY Caulk) was inserted and the Class II preparation on tooth No. 29 was completed. Note that tooth No. 30 was a porcelain-fused-to-metal (PFM) crown and the WedgeGuard helped prevent iatrogenic damage to the mesial aspect, allowing for faster preparation without the stress of damaging/repolishing the adjacent tooth.
3. Rubber dam was placed and isolation of the preparation was achieved using the Palodent® Plus Sectional Matrix System (DENTSPLY Caulk), which consists of three parts: an EZ-Coat sectional matrix, a nickel-titanium ring, and Wave wedges. As shown, the system provides excellent isolation, and, because the ring facilitates tooth separation, contact creation is simple and predictable.
4. After selective enamel etching with 37% phosphoric acid for 15 seconds, Prime&Bond Elect® Universal Dental Adhesive (DENTSPLY Caulk) was scrubbed into the preparation for 20 seconds. It was air-thinned for 5 seconds to remove the solvent and light-cured for
10 seconds.
5. To promote excellent marginal adaptation and sealing at the gingival margin of the proximal box, the first restorative layer was placed using SureFil® SDR® flow Posterior Bulk Fill Flowable Base (DENTSPLY Caulk). This bulk-fill flowable composite provides efficiency due to its self-leveling handling and the ability to place it in
4-mm increments.
6. The SureFil® SDR® flow material was light-cured with a SmartLite® Focus® Pen-Style LED Curing Light (DENTSPLY Caulk). The lightweight, ergonomic curing light features a collimated beam for performance over distance, which ensures that sufficient energy is delivered to the deepest areas of the restoration to cure the material.
7. The final restorative layer was placed using TPH Spectra® LV Universal Composite shade A2 (DENTSPLY Caulk). This hybrid composite comes in two handling choices, a creamy light-viscosity (LV) formulation and a high-viscosity (HV) packable formulation, allowing the clinician to choose the consistency that is best suited for the clinical situation. In this case, the LV formulation was chosen for its ability to be spread and manipulated into a small cavity form.
8. After gross reduction and contouring with a fluted composite finishing bur, the Enhance® Finishing System (DENTSPLY Caulk) was used to achieve the final contour and surface smoothness. These aluminum-oxide–impregnated rubberized finishers can contour composite and/or provide a smooth surface based on pressure applied by the operator.
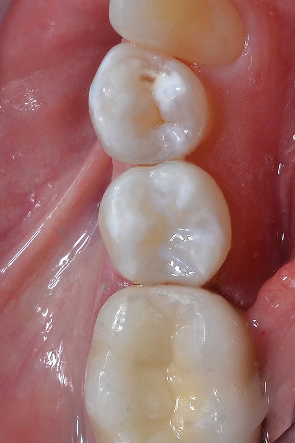
9. The final restoration on tooth No. 29 showing excellent color, contour, and interproximal contact. The restoration was completed efficiently using the DENTSPLY Class II Total Practice Solution, which allowed the author to work faster and still provide an outstanding clinical result.
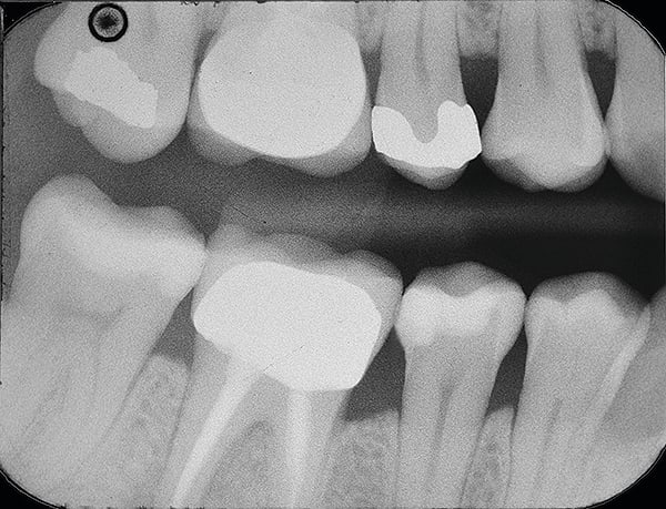
10. Final radiograph of the disto-occlusal restoration on tooth No. 29 showing excellent contour, marginal adaptation, and radiopacity. Note that the radiopacities of SureFil® SDR® flow material and TPH Spectra® composite were matched to create the appearance of one contiguous restoration without demarcations between material layers.
Case 2
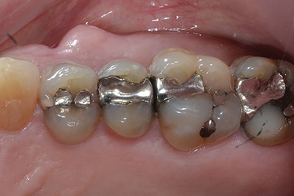
11. (Case 2) In this case, the patient presented with teeth Nos. 4-MOD and 5-MO composite resin restorations to be completed. The DENTSPLY Caulk Class II Total Practice Solution helped the author maintain efficiency by allowing both restorations to be completed together.
12. The preparations were isolated using the Palodent® Plus Sectional Matrix System. Note that multiple surfaces and teeth can be isolated at the same time, allowing practitioners to restore multiple areas without changing or repositioning the matrices.
13. The final restorations on teeth Nos. 4 and 5. Note the excellent contour and interproximal contacts achieved. In the author’s practice, completing multiple composite restorations like this can be very time-consuming when using traditional matrix systems. However, the Palodent® Plus Sectional Matrix combined with the other Class II solution products enables efficiency and uncompromised clinical outcomes.