Case Reports Implantology Prosthodontics CAD/CAM Fabrication of Definitive Implant Prostheses: A Digital Workflow From Planning to Implant Placement to Final Restoration By Harold S. Baumgarten, DMD December 01, 2015 10 min read
Continuing Education Restorative Understanding the Potential of Digital Intraoral and Benchtop Scanning Workflows By Curtis E. Jansen, DDS December 01, 2015
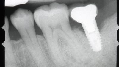
Continuing Education Implantology Dental Cone-Beam Scans: Important Anatomic Views for the Contemporary Implant Surgeon By Gary Greenstein, DDS, John Cavallaro, DDS, Joseph R. Carpentieri, DDS December 01, 2015
Clinical Technique Review Implantology Salvaging Implants With an Nd:YAG Laser: A Novel Approach to a Growing Problem By Jon B. Suzuki, DDS December 01, 2015 13 min read
Special Report CS 9300C System Provides Complete Picture to Multidisciplinary Practice December 01, 2015 4 min read
Special Report Practicing Proactive Dentistry With GALILEOS Comfort PLUS December 01, 2015 4 min read
Special Report Today’s Dental Imaging: Providing Clinicians Improved Control Over Treatment By Harold S. Baumgarten, DMD December 01, 2015 7 min read
Technology Commentary Implantology What’s Hindering Dentistry From the Widespread Adoption of CT-Guided Surgery? By Gary Orentlicher, DMD, Marcus Abboud, DMD December 01, 2015 9 min read
Research Abstracts Implantology Periodontics Research Abstracts - Implant Dentistry December 01, 2015 10 min read