The Giomer family (Shofu Dental Corp., www.shofu.com) of restoratives features a stable glass core coated with an ionomer (SPR-G) lining in a resin matrix to provide a regenerative environment where tissues can stabilize and repair. The predictable antibacterial properties increase the chances for better long-term oral health, especially for patients with poor hygiene and a history of caries. Particularly coupled with topical fluoride application, dire surrounding can become manageable, as this case demonstrates.
Key Takeaway Points:
Giomer restoratives combine excellent esthetics and physical properties with the added benefit of fluoride release and recharge often associated with glass ionomers.
Beautifil® Flow Plus and the Beautifil® II microhybrid composite materials were used to form the structure for long-term clinical success in a case involving anterior composites.
The versatile Giomer line includes flowables, sealants, nanohybrids, posterior microhybrids, and bulk-fill materials.
Figure Captions
1. The patient presented with red, irritated gums due to several potential causes, including at least poor hygiene, decay, and mouth breathing.
2. Composite restorations were planned for 16 teeth with the first visit focusing on the maxilla.
3. After local anesthesia, decay was removed and a calcium-silicate liner was placed where the preparation approached the pulp.
4. Giomer restorative materials Beautifil II nanohybrid and Beautifil Flow Plus (Shofu Dental) were used for the case. Polishing and final shaping was completed with Super-Snap X-Treme™ (Shofu Dental).
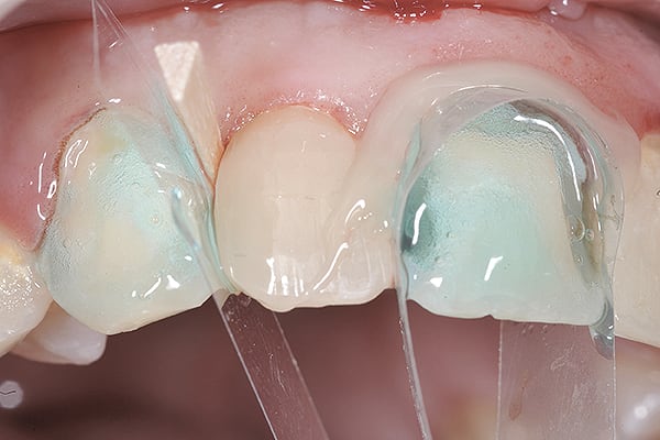
5. Using an anatomical mylar matrix (Margin Perfect Matrix [MPM], CVR Enterprises) is an efficient way to perform large direct composite restorations. Notice the sulcular separation and tooth isolation.
6. Total-etching for 20 seconds was done with 37% phosphoric acid, rinsed, and dentin bonding agent was placed.
7. A layer of Beautifil Flow was placed over the liner and dentin in a 0.5 mm to 1 mm layer. The more flowable material was applied, left uncured, and followed by application of Beautifil II.
8. After shaping with a finish diamond, the adjacent teeth were restored in the same fashion using a mylar strip and MPM.
9. Each tooth was shaped and contoured before the neighboring tooth was restored. The MTM was placed and held into position by flowable composite on the outside before tooth etching.
10. After each restoration was shaped with a finish diamond, final contouring was done with Super-Snap X-Treme disks. The sequence of black, purple, green, and red is excellent at achieving final shape and polish.
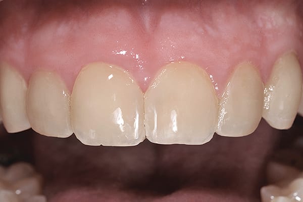
11. After 10 restorations were placed, the Giomer material mimicked other microhybrid composites esthetically, but the fluoride release and rechargeability provided restoration protection so an alginate impression was taken.
12. The patient was sent home with bleach-type custom trays and a topical fluoride gel. The instructions were for bedtime wear two times per week to recharge the Giomer material.
13. After 2 months and one to two topical applications per week, the tissues showed remarkable healing despite less-than-ideal plaque control.
14. Many factors influence soft- and hard-tissue health, but providing restorations that promote regeneration can contribute to long-term health.
About the Author
Jack D. Griffin, Jr., DMD, MAGD
Diplomate, American Board of Aesthetic Dentistry
Accredited, American Academy of Cosmetic Dentistry
Master, Academy of General Dentistry