Completing a maxillary single central implant combined with adjacent and opposing crowns can be challenging. Factors to consider include gingival and prosthetic esthetics, material selection, and occlusal concerns, and their effects on the overall outcome. In this case, the patient presented with a fractured tooth No. 8 that was deemed nonrestorable. After a comprehensive exam, diagnosis, and treatment planning, extraction and implant placement proceeded for No. 8 as well as full-coverage crowns for teeth Nos. 2 through 15 and 17 through 28 due to recurrent decay and esthetic desires. Occlusal dysfunction was addressed with an occlusal deprogrammer, equilibration, staged treatment, and planned crowns that would correct the patient’s guidance and cross-bite. Lithium-disilicate crowns used with eCEMENT™ (BISCO, Inc., www.bisco.com) ensured a superior bond and beautiful esthetics.
Key Takeaway Points:
Staged treatment was completed over a 2-year period, with each step planned in advance to best meet the patient’s expectations.
Material selection was based on past clinical success, research, and proven material science.
BISCO’s eCEMENT™ provided the ideal coloring and strength to accentuate the exceptional ceramics completed by Dwight Rickert, CDT.
Figure Captions
1. Preoperative smile showing broken, discolored teeth with acceptable gingival levels and incisal edge position of maxillary centrals.
2. Preoperative gingival recession, lower cross-bite, and recurrent decay under posterior crowns were evident.
3. Following occlusal equilibration, a diagnostic wax-up was completed on a semi-adjustable articulator.
4. Maxillary central implant healed with bis-GMA temporary resin used as a preparation guide for proper anterior tooth reduction.
5. Maxillary cast returned from laboratory with reduction copings for two preparations. Posterior crowns were already completed on the maxillary arch at this point. Posts and cores were completed on teeth Nos. 12 through 14 utilizing BISCO’s D.T. Light-Post® and Core-Flo™ DC build-ups.
6. Mandibular anterior preparations completed.
7. Verification of provisional bis-GMA for esthetics and function.
8. Final maxillary restorations seated. Teeth were treated with BISCO’s Select HV® etch with benzalkonium chloride, an antimicrobial agent. BISCO’s All-Bond Universal® adhesive and eCEMENT™ adhesive cementation system were used to create a strong, durable bond to both the tooth and the lithium disilicate.
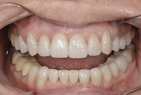
9. Maxillary arch completed with mandibular restorations tried in, verifying fit and occlusion.
10. Note the layered porcelain in the anterior restorations utilizing pressed lithium disilicate with cutback technique for improved esthetics.
11. Mandibular anteriors seated with eCEMENT™ translucent light cure as in the technique described above.
About the Author
Fred H. Peck, DDS, AAACD Accredited member, American Academy of Cosmetic Dentistry Fellow, International College of Dentists Private Practice, Cincinnati, Ohio