Continuing Education Implants Occlusal Considerations for Dental Implant Restorations By Rainer H. Bergmann, DMD July 01, 2014
Continuing Education Implants Criteria to Manage the Technical and Biologic Success of an Implant Abutment By Leon Hermanides, CDT July 01, 2014
Clinical Updates Implants Advanced Immediate Functional Loading: Requirements for Long-Term Success in Modern Implant Dentistry By Georgios E. Romanos, DDS July 01, 2014 19 min read
Clinical Updates Implants Masking Buccal Plate Remodeling in the Esthetic Zone with Connective Tissue Grafts: Immediate Implant Concepts, Techniques July 01, 2014 16 min read
Case Reports Implants Case Studies CAD | CAM Equipment Guided Implant Surgery with Placement of a Presurgical CAD/CAM Patient-Specific Abutment and Provisional in the Esthetic Zone By George A. Mandelaris, DDS, Scott D. Vlk, DDS July 01, 2014 28 min read
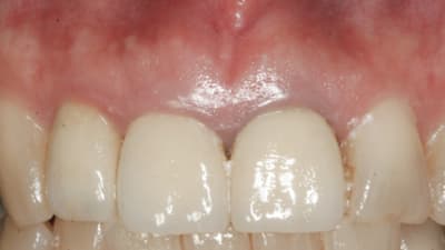
Case Reports Implants Prosthodontics Case Studies Prosthetic Resolution of Peri-Implant Mucositis: Promoting Soft-Tissue Health Through Proper Restorative Design By David E. Azar, DDS July 01, 2014 13 min read
Practical Application General Dentistry Digital Imaging Flexible Phosphor Sensors: A Digital Supplement or Option to Rigid Sensors By Howard S. Glazer, DDS July 01, 2014 11 min read
Products in Practice Implants Restoring a Long-Edentulous Maxillary Ridge Segment with Adjacent Implants July 01, 2014 9 min read
Special Report General Dentistry Oral Health Experts: The Evolving Realm of Dentistry By Dennis M. Abbott, DDS July 01, 2014 8 min read