Introduction Letter from the American Academy of Periodontology Nancy L. Newhouse, DDS October 01, 2013 3 min read
Maintenance The Team Approach to Managing Dental Implant Complications: Strategies for Treating Peri-implantitis Paul S. Rosen, DMD, MS October 01, 2013
Maintenance The Team Approach to Managing Dental Implant Complications: The Periodontist's Point of View Stuart J. Froum, DDS October 01, 2013
Case Report Peri-implant Disease and Cemented Implant Restorations: A Multifactorial Etiology Chandur PK Wadhwani, BDS, MSD October 01, 2013 13 min read
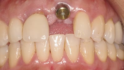
Case Report Managing Esthetic Challenges with Anterior Implants. Part 1: Midfacial Recession Defects from Etiology to Resolution Stephen J. Chu, DMD, MSD, CDT, Dennis Tarnow, DDS October 01, 2013 12 min read
Case Report Implant Complications: Biomechanical and Esthetic Considerations - A Prosthodontist's Perspective Marcus Abboud, DMD October 01, 2013 12 min read