Historically, a major weakness of single-component dental adhesives has been inconsistent bonding, especially to enamel. Bonding agents have come a long way since the first- and second-generation bonding agents used in the 1960s and the 1970s. BeautiBond® from Shofu®, which is rapidly becoming a dentist favorite, has a distinct advantage over other seventh-generation bonding agents due to its dual adhesive monomers. With this technology, biocompatibility, and durability, BeautiBond is an all-in-one adhesive that enables etching, priming, and bonding in a single application and requires no agitation.
The Science Behind the Bond
High bond strength is achieved due to BeautiBond’s exclusive chemistry with unique dual adhesive monomers, phosphonic acid and carboxylic acid, which enable predictable long-term bonding to both enamel and dentin. The phosphonic acid monomer of BeautiBond is more stable than phosphoric acid and enhances the bonding to tooth enamel, while the carboxylic acid monomer facilitates a strong bond to dentin. BeautiBond has a HEMA-free composition, resulting in virtually no gingival blanching due to the composition and incorporation of a new polymerization catalyst.
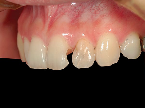
At a thickness of 5 microns, BeautiBond requires only a single coat and no agitation, resulting in shorter working time and thus minimizing postoperative sensitivity. This light-cure and self-etching adhesive is ideal for a wide range of applications as well as highly esthetic and minimally invasive restorations (Figure 1 and Figure 2).
The strength and durability of BeautiBond has been validated through in vitro studies and multi-site clinical studies as well as SEM and TEM observation. These studies show the shear bond strength for nonetched enamel at 26.4 and 27.8 for dentin (Figure 3 and Figure 4). BeautiBond demonstrated comparable bond strength to that of other leading multicomponent products before and after thermocycling with a simplified bonding procedure.
One Convenient Material
Shofu’s seventh-generation BeautiBond is available in a convenient unit-dose delivery system (50 piece box), which preserves and protects the product and provides for excellent chairside handling. A single application requires only 30 seconds for a durable and predictable bond. With an exclusive chemistry, it is a widely popular product within the family of restorative materials.
BeautiBond provides one-step, one-coat application, which adds up to a better, faster, and easier result for the end user and the patient.
More Information
Shofu Dental Corporation
P 800-827-4638
W shofu.com