From the Editor From the Editor: Opportunity Knocking? By Louis F. Rose, DDS August 01, 2013 3 min read
Business of Dentistry Business | Practice Management Building and Sustaining a Referral Network By Roger P. Levin, DDS August 01, 2013 7 min read
Continuing Education Implants Osteotome Sinus Augmentation with Less Than 5 mm of Native Bone: A Membrane Visualization Technique Using a Tapered Platform-Shifting Implant By David Anson, DDS, Robert Horowitz, DDS August 01, 2013
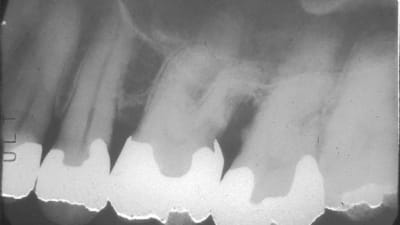
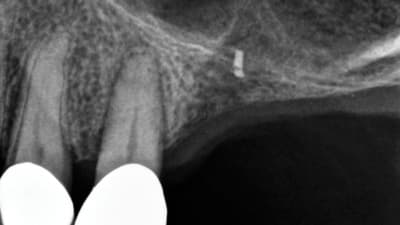
Continuing Education Implants Dental Implants Typically Help Retain Peri-Implant Vertical Bone Height: Evidence-Based Analysis By Gary Greenstein, DDS, John Cavallaro, DDS August 01, 2013
Clinical Updates Implants Immediate Implant Placement in Posterior Areas, Part 2: The Maxillary Arch By Frederick O. Hains, DDS, Paul A. Fugazzotto, DDS August 01, 2013 29 min read
Case Reports Implants A Team Approach to Cost-Effective, Full-Arch Immediate Loading August 01, 2013 9 min read
Case Reports Implants Case Studies Combining All-on-4 Treatment with CT-Guided Technology: Technique and Report of Three Cases By Gary Orentlicher, DMD, Marcus Abboud, DMD, Mark Adams, DDS, Ole Jensen, DDS August 01, 2013 25 min read
Special Report General Dentistry Digital Imaging Digital Radiography in General Practice: Is It Time to Convert? By Claudio M. Levato, DDS August 01, 2013 9 min read
Special Report Carestream Dental: Innovative Imaging Solutions Benefiting Patients and Practices August 01, 2013 4 min read
Special Report XDR Radiology: Digital Solutions Designed by Dentists for Dentists August 01, 2013 4 min read
The Voice Nobel Biocare Global Symposium: "Designing for Life" Strives to Improve Outcomes By Kate Hughes August 01, 2013 7 min read
Online Only Implants Periodontics Online Only Peri-Implant and Periodontal Tissues: A Review of Differences and Similarities By Gregori M. Kurtzman, DDS, KL Vandana, BDS, Lanka Mahesh, BDS, Sangeeta Dhir, BDS August 01, 2013 29 min read