Business of Dentistry Business | Practice Management Objectively Assessing a Dental Practice By Roger P. Levin, DDS May 01, 2012 5 min read
Continuing Education Oral Surgery Implants Postextraction Maintenance of the Alveolar Ridge: Rationale and Review By Dhoom S. Mehta, MDS, Garima Agarwal, MDS, Raison Thomas, MDS May 01, 2012
Continuing Education Implants Occlusion Diagnosis and Treatment Planning “Rules of 10”—Guidelines for Successful Planning and Treatment of Mandibular Edentulism Using Dental Implants By Bryan M. Limmer, DMD, Lyndon F. Cooper, DDS, W. Day Gates, DDS May 01, 2012
Case Reports Prosthodontics Implants Case Studies A Maxillary Fixed Bridge Supported by Dental Implants: Treatment Sequence and Soft-Tissue Considerations By Michael Tischler, DDS May 01, 2012 9 min read
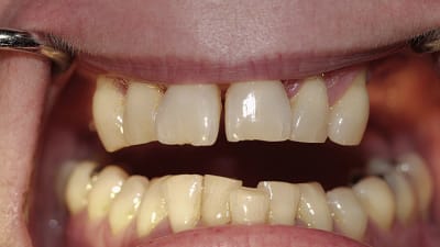
Kois Center Case General Dentistry Case Studies Occlusion Use of Additive Dentistry Decreases Risk by Minimizing Reduction By K. Michael Palmer, DMD May 01, 2012 14 min read
Online Only Specialty Care Case Studies Online Only Bisphosphonate-Related Osteonecrosis of the Jaws—A Case Report By Orrett Ogle, DDS May 01, 2012 12 min read
Online Only Periodontics Case Studies Online Only Amlodipine-Induced Gingival Enlargement—A Clinical Report By Shivani Sharma, MDS May 01, 2012 11 min read
Online Only Implants Online Only A Retrospective Analysis of 12 Immediate-Implant Restorations in the Maxillary Premolar Region By Adam A. Sarnowski, DMD May 01, 2012 11 min read
Review Periodontics Specialty Care Down Syndrome-Associated Periodontitis: A Critical Review of the Literature By Hessam Nowzari, DDS May 01, 2012 14 min read
Research Update Implants Oral Surgery Analysis of Bone Formation After Sinus Augmentation Using ß-Tricalcium Phosphate By Hatice Hasturk, DDS PhD, Justine Dobeck, BA, Rayyan A. Kayal, BDS, Serge Dibart, DMD, Thomas Dietrich, DMD, Ulrike Schulze-Späte, DMD, Ziedonis Skobe, PhD May 01, 2012 13 min read
Special Report Periodontics Laser Technology: Its Role in Treating and Managing Periodontal Disease By Jan LeBeau, RDH May 01, 2012 7 min read
Special Report BIOLASE Lasers Combine Excellent Clinical Results with Ease of Use May 01, 2012 4 min read
Practical Application General Dentistry Reverse Spot Bonding: A Novel Technique for Provisionalization with Immediate Dentin Sealing By John Snowden, DDS, Sebastian Ercus, DMD, Todd R. Schoenbaum, DDS, MS May 01, 2012 9 min read