Continuing Education Periodontics A Review of Vitamin D as It Relates to Periodontal Disease By James Burke Fine, DMD, Suellan Go Yao, DMD March 01, 2012
Continuing Education Diagnosis and Treatment Planning Saliva as a Tool in the Detection of Hepatitis B Surface Antigen in Patients By Gagandeep Arora, BDS, Ravinder Singh, DDS, Shambulingappa Pallagatti, MDS, Soheyl Sheikh, MDS, Varsha A. Singh, MD March 01, 2012
Case Reports Endodontics General Dentistry Ortho Products Case Studies Localized Idiopathic Apical Root Resorption: A Report of Five Cases With Emphasis on Differential Diagnosis By Robert J. Kanas, DDS, Scott J. Kanas March 01, 2012 16 min read
Kois Center Case Case Studies Restorative Indirect Restorative Restoration of a Fractured Central Incisor March 01, 2012 11 min read
Online Only Endodontics Case Studies Online Only Nonsurgical Endodontic Retreatment of a Mandibular First Molar with Five Canals: 1-Year Follow-up By Deepak J. Parekh, MDS, Sathyanarayanan R., MDS March 01, 2012 7 min read
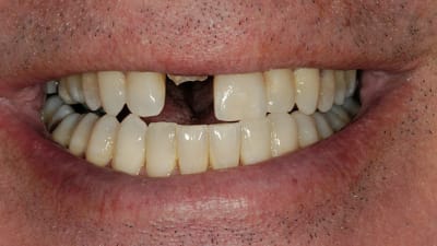
Online Only Implants Online Only Case Studies A Clinical Investigation of the Rescue™ Internal Implant By Hoda Yousef, DMD, Mark Khaimov, DMD, Saul Weiner, DDS March 01, 2012 18 min read
Research Update Periodontics Effect of an Herbal Mouth Rinse in Preventing Periodontal Inflammation in Experimental Gingivitis Model: A Pilot Study By Isaiah D. Wexler, MD, John T. Grbic, DMD, Noah Samuels, MD, Ray C. Williams, DMD March 01, 2012 19 min read
Special Report Restorative Direct Restorative The Durability of the Resin/Dentin Complex By Gregg A. Helvey, DDSDDS March 01, 2012 7 min read
Special Report Simplicity Is the Key to Danville’s Prelude™ Adhesive March 01, 2012 6 min read
Special Report Kuraray Provides “Tried and True” Adhesive Options March 01, 2012 4 min read
The Voice Pain Management Managing Craniofacial Pain the Multi-Disciplinary Way By Noshir R. Mehta, BDS March 01, 2012 5 min read