Panoramic Radiography: Digital Technology Fosters Efficiency
Panoramic radiography (also termed orthopantomography or pantomography) is a staple of modern dental practice, producing a single flat-plane projection image for the visualization of the jaws and adjacent anatomy. While several individuals experimented with early attempts at panoramic radiography, Yrjö Veli Paatero, a Finnish dentist, is typically credited as the “father of panoramic radiography.”1
The first commercially manufactured panoramic radiography unit in the United States, the Panorex, was introduced in 1959.2 That unit incorporated the narrow slit radiation beam and rotational movement, which produced a curved “panoramic” image layer coinciding with the shape of the jaws. Anatomic structures positioned within the panoramic image layer are relatively sharply depicted, while structures outside the image layer are blurred to the point of being hardly noticeable. Because the panoramic image is a “flattened” image of a 3-dimensional (3-D) structure, distortion is an expected and predictable outcome. Proper training in the interpretation of panoramic images typically enables the clinician to adequately understand these limitations.3 Numerous improvements and modifications to panoramic imaging to update this popular technology are constantly occurring. While the majority of panoramic radiographs in offices are still done on analog radiographic film, virtually all new units are digital acquisition models.
How Digital Panoramic Radiography Works
Direct Digital Acquisition Technologies
Direct acquisition methods include solid-state charge-coupled device (CCD) or complementary metal–oxide semiconductor (CMOS) and photostimulable storage phosphor (PSP) technologies. These methods have been reported to be acceptable to good with no definitive conclusion of superiority.4
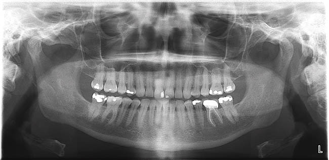
Both CCD and CMOS are solid-state digital technologies that use a one-step process. Sensors for both have multiple electron wells that correspond to picture elements (pixels). The electron wells are covered by a silicon layer. Incoming x-ray photons interact with (ionize) silicon atoms and the freed electrons are collected in the wells. As the electron charge is transferred to a readout photomultiplier (amplifier), it is moved to an analog-to-digital converter. From this electronic data, the software creates the radiolucent and radiopaque areas on the resultant image. The two technologies differ in the pixel readout mechanism, transistor location, and energy requirement. Both types of sensors are ready for reuse once the almost instantaneous readout is completed.5 For digital panoramic radiographs, the pixel array is two pixels wide and uses a scanning movement to acquire the image—similar to a standard photocopier, which actually uses the same technology. The image appears on the computer monitor within seconds of acquisition (Figure 1). Solid-state digital panoramic units are dedicated digital units that do not have analog film capability. Retrofit kits to convert film-based units to solid-state digital are available for some models.
PSP units operate with a two-step process: 1) image acquisition; and 2) placing the exposed plate in a laser scanner to release electrons resulting in image formation. The scanner also immediately erases the plate for reuse. The digital image appears on the computer monitor within several seconds. The laser scanning procedure can be done under normal lighting conditions, however dim or low light conditions extend working time to open the cassette and insert the exposed PSP plate.6 Existing film-based panoramic units are easily adapted to allow digital image acquisition using PSP technology. No darkroom is required and the unit retains its analog film capability, as the film cassette is merely replaced by a cassette containing a PSP imaging plate.
Indirect Digital Technologies
Analog radiographic films can be digitized by scanning the film on a flatbed scanner with a light transmission adapter. However, this is time-consuming and the digital quality is limited by the film quality.7 Digital photographic cameras may also be used for this purpose. This technology is typically used when infrequent digital images are required, perhaps for insurance submission.3 While this may be employed to import a film-based image into a digital practice, it is not efficient as a routine office protocol.
Applications and Benefits
Directly acquired digital panoramic images are far more time-efficient and more easily interpreted than analog film radiographs. The digital image can be postprocessed to optimize image interpretation based upon diagnostic objective. Radiation risk may also be reduced compared to analog film techniques, though the reduction is not as great as it is with intraoral radiography. This is because the panoramic film cassettes are equipped with intensifying screens that require much less radiation than the direct-exposure film used for intraoral techniques. Additionally, cost savings can result from the elimination of darkrooms, processors, processing chemicals, and film mounts.
Integration into the Practice
For maximum efficiency, a dental office should already have a robust networked computer system. In general, solid-state digital panoramic units provide the most time-efficient method of image acquisition. While these units are expensive compared to traditional analog film-based systems, most newly installed panoramic units are solid-state digital systems.
If a practice has a relatively new analog film-based panoramic unit that the clinician would prefer not to replace, or if a film-based imaging capability needs to be maintained for any reason, PSP technology would be an appropriate choice. This option not only allows the clinician to defer the purchase of a new direct digital acquisition panoramic unit, but it could also be a reasonable longer-term solution. If PSPs are being used for intraoral acquisition, the clinician may be able to acquire a laser scanner that will accept both intraoral- and extraoral-size PSP imaging plates.
Updates
Several optional features are available on digital panoramic units from various manufacturers. Features include: 1) variable arch shapes; 2) curved linear projections of the temporomandibular joints, maxillary sinuses, and cross sections of the jaws; 3) automatic exposure control; and 4) panoramic bitewings (Figure 2).8-12
Many manufacturers offer the options of cephalometric and 3-D (cone-beam computed imaging) imaging capabilities in combination with standard panoramic features, which provides a space-saving and cost-efficient multimodal imaging system.
Considerations Before Purchasing
Networked Computer System
A well-planned, networked computer system is necessary for maximum usefulness of digital radiography systems. A central server is needed so that all images can be viewed in any operatory using reasonably good quality monitors. Many of the difficulties encountered when using any type of digital imaging system are computer-based, thus it is also important to have adequate and efficient computer technical support. As with all computer data, an automatic, off-site data backup is a requisite to ensure the safety of the data. An alternative is a portable hard-drive backup, but the backup data should never be left at the office where it might be destroyed by fire, water, or other hazards.
Office Management Software Integration
Digital radiography is an essential complement to electronic health records. However, it can stand alone even if paper records are still being used. If office management software systems are already in use or their purchase is being planned, the digital radiology system must be
completely compatible and should not require a concurrent boot-up of an image acquisition/viewing software program.
Wheelchair Accessibility
Most, if not all, digital panoramic units are wheelchair accessible. Clinicians should investigate which units are best suited for their needs, as some units may be easier to use with wheelchairs than others.
Wall Vs. Floor Mounting
While some panoramic units are wall-mounted, others are floor-mounted. The existing physical structure where the unit will be installed should be evaluated. Wall-mounted units may require additional reinforcement.
Radiation Shielding
Shielding requirements need to be addressed prior to selecting and installing imaging units. Typically, standard 2-inch x 2-inch studs with ⅝-inch gypsum board on either side is adequate, especially if adjacent rooms are hallways and only intermittently occupied. Additional shielding may be needed if adjacent areas such as administrative desks or offices are fully occupied. It is best to consult with the installer for local or state building code requirements or even a radiation physicist for a final determination.
Costs and Training
The purchase price of a basic CCD/CMOS digital panoramic unit varies considerably but typically ranges from $30,000 to $70,000. A PSP panoramic capability may be acquired in the $15,000 to $20,000 range, assuming an analog film-based panoramic unit is already being used. Long-term cost savings are more variable and are achieved through the elimination of processing units and chemicals, and less required staff time. Further savings can be realized if the former darkroom area can be converted into another usable (and possibly income-producing) space.
While a somewhat steep learning/training curve may be encountered when transitioning to digital intraoral imaging, the acquisition of digital panoramic images is essentially straightforward and very similar to analog film-based acquisition, assuming the staff has computer experience (Figure 3). Nevertheless, appropriate training should be included in any purchase agreement. Similarly, a warranty/service contract should be investigated to assure quick responses should the unit ever need maintenance or repair.
Summary
Panoramic imaging continues to be a clinically popular tool in the diagnosis and assessment of dental patients. Digital technology improves the efficiency of the imaging system, may reduce overall costs and radiation risk, and aids in optimal interpretation of the image.
References
1. Langland OE, Langlais RP, McDavid WD, Delbalso A. History of panoramic radiology. In: Panoramic Radiology. 2nd ed. Philadelphia, PA: Lea and Febiger; 1989:3-37.
2. Hallikainen D. History of panoramic radiography. Acta Radiol. 1996;37(3 pt 2):441-445.
3. Angelopoulos C, Bedard A, Katz JO, et al. Digital panoramic radiography: an overview. Semin Orthod. 2004;10(3):194-203.
4. Yiu BK, Ip SCM, Liu SCY, et al. Digital dental panoramic radiography: evaluation of image quality in four imaging systems. Hong Kong Dental Journal. 2005;2:19-23.
5. Litwiller D. CCD vs. CMOS: facts and fiction. Photonics Spectra. 2001;35(1):154-158.
6. Körner M, Weber CH, Wirth S, et al. Advances in digital radiography: physical principles and system overview. Radiographics. 2007;27(3):675-686.
7. Fuge KN, Stuck AM, Love RM. A comparison of digitally scanned radiographs with conventional film for the detection of small endodontic instruments. Int Endod J. 1998;31(2):123-126.
8. Akarslan ZZ, Akdevelioğlu M, Güngör K, Erten H. A comparison of the diagnostic accuracy of bitewing, periapical, unfiltered and filtered digital panoramic images for approximal caries detection in posterior teeth. Dentomaxillofac Radiol. 2008;37(8):458-463.
9. Eraso FE, Ludlow JB, Platin E, et al. Clinical and in vitro film quality comparison of manual and automatic exposure control in panoramic radiography. Oral Surg Oral Med Oral Pathol Oral Radiol Endod. 1999;87(4):518-523.
10. Liang H, Tyndall DA, Ludlow JB, et al. Accuracy of mandibular cross-sectional imaging with tuned-aperture computed tomography (TACT), iteratively reconstructed TACT, and multidirectional, linear, and transverse panoramic tomography. Oral Surg Oral Med Oral Pathol Oral Radiol Endod. 2001;91(5):594-602.
11. Crow HC, Parks E, Campbell JH, et al. The utility of panoramic radiography in temporomandibular joint assessment. Dentomaxillofac Radiol. 2005;34(2):91-95.
12. Potter BJ, Shrout MK, Russell CM, Sharawy M. Implant site assessment using panoramic cross-sectional tomographic imaging. Oral Surg Oral Med Oral Pathol Oral Radiol Endod. 1997;84(4):436-442.
About the Authors
Byron W. Benson, DDS, MS
Professor and Vice Chair
Department of Diagnostic Sciences
Texas A&M Health Science Center
Baylor College of Dentistry
Dallas, Texas
Hui Liang, DDS, PhD, MS
Associate Professor
Department of Diagnostic Sciences
Texas A&M Health Science Center
Baylor College of Dentistry
Dallas, Texas
Diane J. Flint, BS, DDS, MS
Assistant Professor,
Department of Diagnostic Sciences
Texas A&M Health Science Center
Baylor College of Dentistry
Dallas, Texas